小腹坠胀疼痛是怎么回事
1、一妇科疾病相关因素1生理期不适生理期时,子宫内膜脱落会引发小腹坠胀和疼痛,属于正常生理现象但若疼痛剧烈或持续时间过长超过3天,需警惕子宫内膜异位症子宫腺肌病等疾病2盆腔炎性疾病包括子宫内膜炎输卵管炎卵巢炎等,常伴...
脸上长白色脓包怎么办
1、二应对建议1 一般护理皮肤清洁每日用温和洁面产品清洁面部,去除油脂与污垢,避免过度清洁破坏皮肤屏障儿童需使用专用洁面产品,动作轻柔避免刺激禁止用手挤压脓包,防止感染扩散停用刺激性强的化妆品或护肤品青少年尤其需注意...
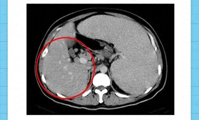
胆囊息肉最佳治疗方法
1、胆囊息肉的最佳治疗方法需根据息肉大小及合并症状综合判断,具体如下一需手术治疗的情况若胆囊息肉在彩超报告中显示直径达到1cm,且合并以下任一条件时,建议积极进行手术治疗1合并胆囊结石结石可能刺激息肉生长或引发胆囊炎...
流感和感冒的区别怎么分
1、普通感冒与流感在症状病因传染性和治疗等方面存在显著区别1 病因差异普通感冒由多种病毒如鼻病毒冠状病毒等引起,病毒类型复杂且变异较少流感则由流感病毒甲型乙型丙型引发,病毒变异性强,易导致季节性流行2 症状表现普通感...
张力性气胸的病因有几种
张力性气胸的病因主要是活瓣作用,具体来源包括以下两个方面胸壁活瓣在外伤性气胸时,胸壁可能形成活瓣作用这种活瓣使得气体只能从外界进入胸腔,而无法从胸腔排出每次呼吸时,外界气体进入胸腔而不出,导致胸腔内压力逐渐升高高压力...
耳朵里面长了个硬疙瘩是什么
1、耳朵里面长了个疙瘩,可能是以下几种原因导致的1 外耳道疖肿外耳道疖肿是外耳道皮肤毛囊或皮脂腺被细菌感染后形成的局限性化脓性炎症常见症状包括耳部疼痛局部肿物,触碰时疼痛加剧,严重时可能伴随发热或耳周淋巴结肿大多因挖...










京公网安备11000000000001号
京ICP备11000001号