去健身房可以减肥吗(想增肌想减脂吃对食物才能效果翻倍|全民健身日)
2025年8月8日是“全民健身日”。对于健身人群来说,无论是想让肌肉线条更分明(增肌),还是想甩掉多余的脂肪(减脂),仅靠刻苦训练还不够,合理的膳食营养也是达成目标的“隐形翅膀”。均衡膳食能够优化身体成分、促进恢复、...
糖尿病的早期症状(糖尿病早期的几大症状 早发现早预防)
说到糖尿病,很多人都认为只有中老年人才会患上该疾病,但根据数据显示,有越来越多的年轻人也患上了糖尿病,因此即使再年轻,我们也要需要引起重视,做好预防措施。该如何预防糖尿病?出现哪些症状预示着糖尿病的发生?别着急,接下...
化验大便能查出什么(5种大便反映身体状况)
大便形态与质地是“肠道健康的晴雨表”,中医认为其变化与脾胃运化、肠道传导、体内寒热虚实密切相关。5种常见异常大便(黏滞、干结、稀溏、色黑、排便不爽),分别对应脾虚湿气、肠热津亏、脾胃虚寒、瘀血/饮食、肝郁气滞等问题,...
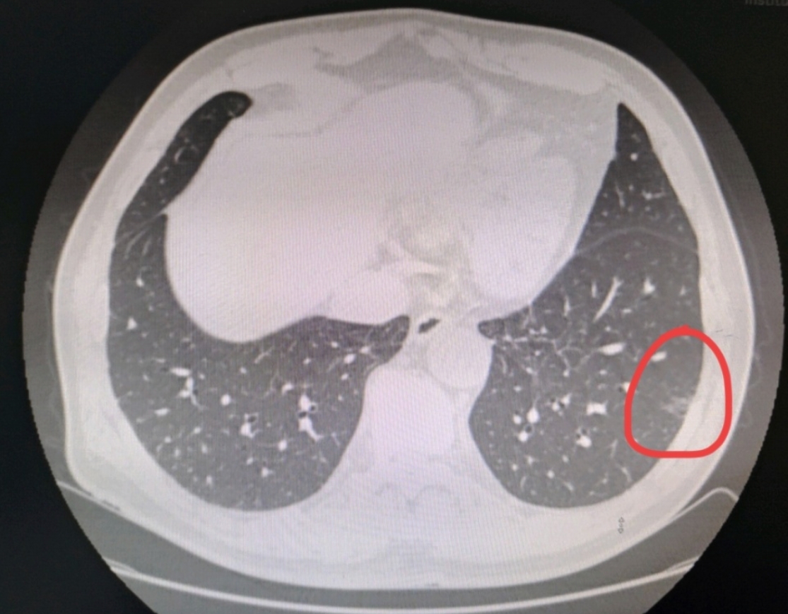
肺磨玻璃结节是肺癌吗
1、肺磨玻璃结节不能仅凭认定就断定是癌虽然肺磨玻璃结节与肺癌之间存在一定的关联,但并非所有肺磨玻璃结节都是恶性的肺磨玻璃结节是指在肺部CT检查中,表现为密度轻度增高的云雾状淡薄影圆形结节,样子像磨砂玻璃一样,所以叫磨...
仓鼠有传染病或者是病毒吗?(香港曝全球首例仓鼠感染新冠)
近期香港发现世界上首宗仓鼠在实验室外感染新冠病毒的案例,香港大学医学院微生物系陈鸿霖教授接受凤凰卫视专访时表示,新冠病毒一旦进入到动物体内,就意味着人类在短时间内很难将病毒扑灭。如果病毒很难被消除,也就意味着在某阶段...
孕妇血糖正常值是多少?
孕妇血糖正常值如下空腹血糖应控制在51mmolL以下餐后两小时血糖应控制在78mmolL以下特殊情况的诊断 糖尿病合并妊娠如果空腹血糖达到7mmolL以上,或餐后两小时血糖达到111mmolL以上,即可诊断为糖尿病合...




京公网安备11000000000001号
京ICP备11000001号