颈椎生理曲度变直怎么办
一无神经压迫症状的保守治疗若仅表现为颈椎生理曲度变直,未出现手麻头晕肢体无力等神经压迫症状,治疗以纠正不良姿势为核心需减少长期低头行为,每工作30分钟应抬头活动颈部,保持视线与屏幕平齐佩戴颈托可辅助维持颈椎中立位,但...
更年期年龄段是多少?
女性更年期的年龄段一般为40岁至65岁之间更年期的核心特征是卵巢功能逐渐衰退,雌激素水平波动并最终下降这一过程通常以绝经为标志,而绝经的平均年龄约为50岁,但个体差异显著绝经前后几年通常为绝经前23年至绝经后12年是...
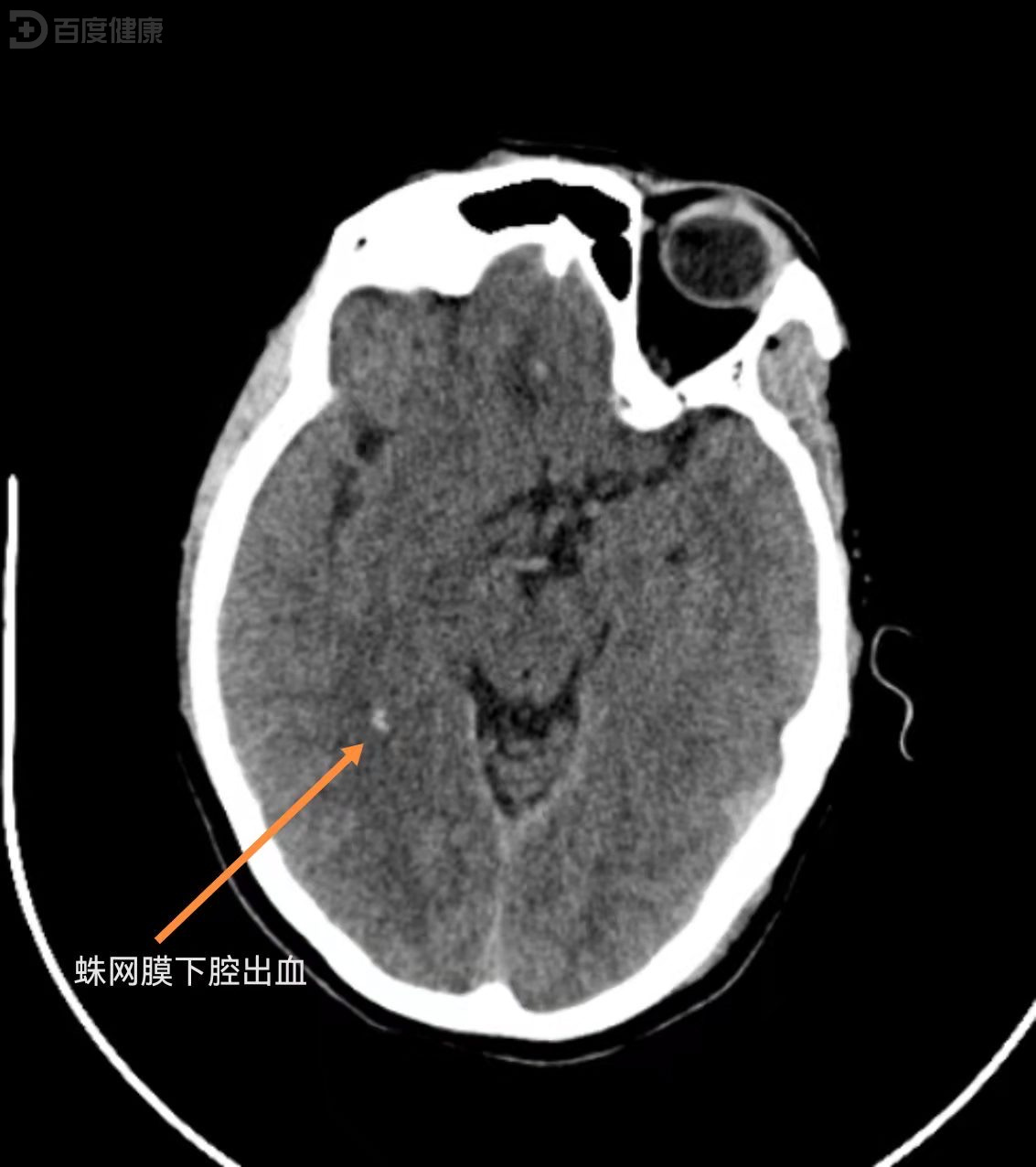
蛛网膜下腔出血是什么?
蛛网膜下腔出血是脑出血的一种特定类型以下是对其的详细解释定义与位置蛛网膜下腔出血指血液积聚于蛛网膜下腔的病理状态蛛网膜是包裹在大脑表面的一层透明薄膜,类似核桃内部的薄膜结构,其与软脑膜之间的腔隙即为蛛网膜下腔当血液进...
痘坑痘印用啥方法能去除
祛除痘坑痘印需结合医学治疗与日常护理,以下为科学有效的方法总结一医学治疗手段1 化学剥脱法 原理通过果酸或超分子水杨酸剥离表皮角质层,促进角质细胞更新,加速色素代谢适用情况浅层痘印色素沉着型痘印注意事项治疗后需严格防...
果维康维生素C含片的作用是什么呢?
1 补充维生素C,预防或改善缺乏症状果维康维生素C含片的核心功能是补充维生素C,尤其适用于因饮食不均衡吸收障碍或特殊生理需求如孕期哺乳期老年人导致维生素C摄入不足的人群维生素C是人体必需的水溶性维生素,参与胶原蛋白合...
女性激素六项检查包括哪些
内分泌六项检查是通过测定血清中六项激素水平,评估女性内分泌功能及诊断相关疾病的常用方法这六项激素具体包括促卵泡激素FSH促黄体生成素LH泌乳素PRL雌二醇E2孕酮P和睾酮T检查目的主要用于评估女性生殖系统功能卵巢储备...
副鼻窦炎吃什么药效果好
三黏液溶解促排剂药物可稀化鼻腔和鼻窦黏液,促进排出,改善通气引流常用药物如桉柠蒎肠溶软胶囊,通过推动黏液纤毛运动帮助排痰特殊人群需关注儿童用药需选择适合的剂型和剂量老年人因肝肾功能减退,需调整剂量以避免药物蓄积四抗组...
被蚂蚁咬了怎么止痒消肿
被蚂蚁咬后止痒消肿的方法如下止痒措施若被咬部位出现瘙痒,可优先选择外用抗组胺药物药膏,如盐酸氯环利嗪乳膏或赛庚啶乳膏,这类药物通过阻断组胺受体缓解过敏反应若瘙痒持续或加重,可改用糖皮质激素乳膏,如卤米松乳膏,其抗炎作...










京公网安备11000000000001号
京ICP备11000001号