糜烂性胃窦炎是发生在胃窦部,胃窦黏膜出现糜烂但未达溃疡程度的炎症性疾病病因方面幽门螺杆菌感染是常见原因,它能在胃内酸性环境生存,定植在胃窦黏膜表面引发炎症,破坏保护屏障导致糜烂药物因素也不容忽视,长期或大量服用非甾体类抗炎药等,会抑制胃黏膜合成前列腺素,削弱保护作用不良生活方式如;糜烂性胃窦炎是一种发生在胃窦部的慢性炎症性疾病病因与诱因其发生与多种因素相关,主要包括幽门螺杆菌感染长期使用非甾体抗炎药如阿司匹林胃酸和胃蛋白酶的过度分泌应激反应如严重创伤手术胃十二指肠运动异常等此外,不良饮食习惯如长期饮酒吸烟胆道疾病等也可能诱发或加重;慢性浅表性胃窦炎伴糜烂是指胃窦部黏膜发生慢性炎症,并伴有黏膜表层的破损或溃疡形成,属于消化系统常见疾病具体解析如下疾病定位与病理特征胃窦是胃的下部,负责食物的初步研磨和排空当胃窦黏膜受到持续刺激如幽门螺杆菌感染药物刺激饮食不规律等,炎症细胞浸润会导致黏膜充血水肿,进而引发。
糜烂性胃窦炎是一种发生在胃窦部的胃部疾病,属于慢性胃炎的特殊类型其病因复杂,主要由以下因素引发药物因素长期或过量使用非甾体类抗炎药如阿司匹林布洛芬及糖皮质激素等药物,会抑制胃黏膜前列腺素的合成前列腺素是胃黏膜保护的重要物质,其减少会导致胃黏膜屏障功能削弱,增加黏膜受损风险;慢性糜烂性胃窦炎可能不是一种很严重的疾病以下是具体分析1 疾病性质 糜烂性胃窦炎属于慢性胃炎的一种,更具体地说是非萎缩性胃炎的一种表现与萎缩性胃炎相比,它与恶性疾病的相关性不大2 胃黏膜细胞再生能力强 胃黏膜细胞的再生速度非常快,这意味着在受到损伤后,胃黏膜有能力进行快速的自我修复3 治疗方法 出现糜烂性胃窦炎时,需要服用。
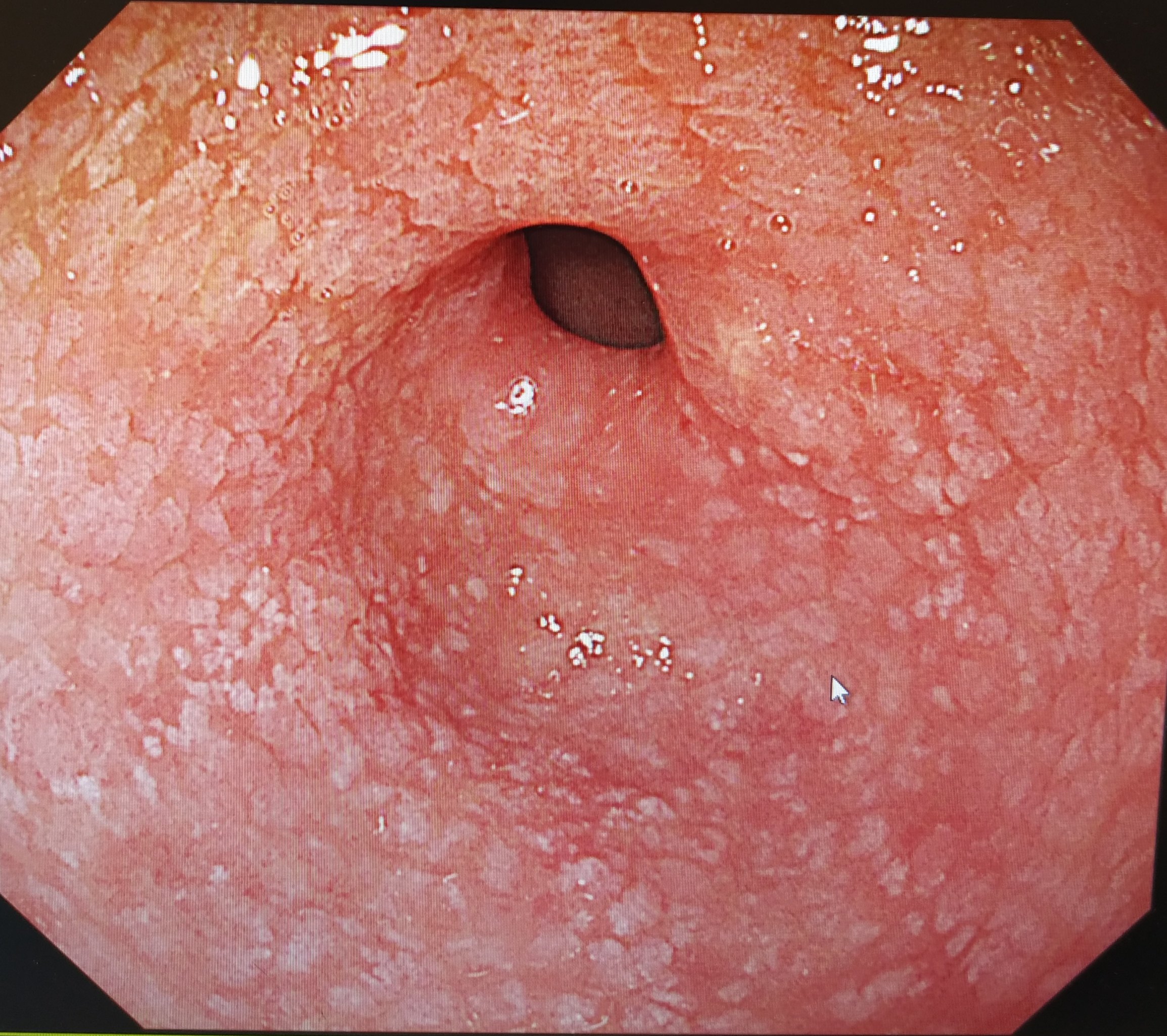
病理诊断“胃窦粘膜中度慢性浅表糜烂性炎”表明胃窦部黏膜存在中度慢性炎症,并伴有浅表性糜烂以下从病因症状诊断治疗及预防五个方面进行科普一病因该病理结果可能由多种因素引起,包括幽门螺杆菌感染长期使用非甾体抗炎药如阿司匹林胃酸和胃蛋白酶分泌过多吸烟应激状态如精。
糜烂胃窦炎是一种以胃窦部黏膜糜烂为特征的慢性胃部炎症,其发生与多种因素相关,主要涉及胃黏膜的损伤与修复失衡以下从病因症状诊断治疗及预防五方面展开说明一病因幽门螺杆菌感染是主要诱因之一,该菌可破坏胃黏膜屏障,引发炎症反应长期使用非甾体抗炎药如阿司匹林会抑制胃黏膜保护物质;回答你好,胃窦炎是指局限于胃窦部的一种慢性炎症,主要病变多局限于黏膜层,但也漫延至肌层或浆膜层胃窦炎好发于30岁以上的男性,多数表现为上腹部饱闷感,隐痛或剧痛,常呈周期性发作,可伴有嗳气反酸恶心呕吐纳减消瘦等,少数可有出血,也有无症状者本病与精神因素关系密切,情绪波动或恐惧。
一疾病性质与症状特点糜烂性胃窦炎是胃窦部黏膜的浅表性损伤,属于慢性胃病范畴其核心病理改变为胃黏膜表层糜烂,未累及深层组织,因此恶性病变风险较低但患者常出现持续性或阵发性上腹部疼痛,疼痛性质可为隐痛灼痛或胀痛,且易因进食刺激性食物加重伴随症状包括恶心呕吐反酸嗳气及食欲减退;糜烂性胃窦炎是发生在胃窦部的慢性炎症性疾病,其核心特征为胃黏膜的糜烂性损伤该病的发生与胃黏膜屏障功能受损密切相关,常见病因包括以下方面一核心病因1幽门螺杆菌感染该菌通过破坏胃黏膜屏障诱发免疫反应,导致胃窦部炎症和糜烂,是主要致病因素之一2药物损伤长期或过量使用非甾体抗炎。
转载请注明来自极限财经,本文标题:《什么是慢性糜烂性胃窦炎?》

京公网安备11000000000001号
京ICP备11000001号
还没有评论,来说两句吧...