鹰嘴骨折多久能好(尺骨鹰嘴骨折的正确处理方式及相关注意事项)

鹰嘴骨折多久能好(尺骨鹰嘴骨折的正确处理方式及相关注意事项)

塞志强 2025-10-16 都市日报 7 次浏览 0个评论

尺骨鹰嘴骨折可以由直接暴力引起,如跌倒时肘尖部着地,也可以由间接暴力所致,如部分屈肘位跌倒,肱三头肌收缩的间接力量使鹰嘴撕脱。今天,就来了解一下尺骨鹰嘴骨折的治疗技巧。

骨折分型

Schatzker根据骨折方式和选择内固定类型时需要考虑的力学因素将这些骨折进行了分类。尺骨鹰嘴骨折的正确处理方式及相关注意事项,需要的请收藏

▲ 鹰嘴骨折的Schatzker分型

治疗原则及目标

鹰嘴骨折的治疗目标是获得无痛的功能。对于可以主动伸直的无移位或轻度移位的骨折,可以采取非手术治疗,肘关节夹板屈肘90°位固定3~4周,然后温柔地被动活动至主动辅助再到主动活动。大多数鹰嘴骨折有移位,需要手术治疗。像所有需要手术治疗的骨折一样,要有术前评估和手术计划。对每个骨折都必须选择正确的治疗方法以保证获得成功的结果。识别肘关节损伤和并发脱位对于其处理至关重要。

治疗方案及手术技巧

在复位和内固定能解决问题的情况下,鹰嘴切除和三头肌前移常没必要。据报道,对于功能要求低且身体状况差,遭遇到不可重建的严重近端粉碎性骨折,或者内固定失败后接受翻修的鹰嘴骨折患者,采用骨折近端切除并将三头肌缝合重建于骨折远端是成功的。最近的生物力学数据显示,在鹰嘴的后侧比前侧重建三头肌止点可以获得更大的力量。

1.张力带钢丝技术

应用张力带钢丝技术的目的是:在屈肘时,鹰嘴背侧骨皮质伸展,使鹰嘴关节骨折端可以获得压缩应力;但是,生物力学研究并不能证实抗张应力转化为压缩应力。

张力带钢丝被证实对于简单横行骨折很有效,而在斜行、粉碎、乙状切迹以远的骨折中禁忌使用。手术过程充满了不确定因素,常带来并发症—常是产生症状的内固定物,在有的报道中高达80%的患者需要取出。肘关节不稳及冠突和桡骨小头骨折的患者中已注意到不良后果。

克氏针常被用于锚定张力带,其风险是可能对前臂的血管神经造成损伤。推荐采用髓内螺钉结合张力带,据报道,克氏针穿过骨皮质比在髓内放置更能增加稳定性和减少并发症。

我们不常使用克氏针张力带技术固定移位的鹰嘴骨折,因为与其他技术比较存在高的并发症和再手术率。它的主要优势是造价低,而且在软组织条件差的患者中占用很小的空间而不过多干扰软组织。

2.钢板内固定

钢板内固定可以对复杂骨折、远端骨折和复杂的骨折脱位起到较好的固定作用。通常用的是中和钢板,此技术允许拉力螺钉固定冠突和(或)鹰嘴以达到解剖重建尺骨近端。

尺骨鹰嘴骨折的正确处理方式及相关注意事项,需要的请收藏尺骨鹰嘴骨折的正确处理方式及相关注意事项,需要的请收藏尺骨鹰嘴骨折的正确处理方式及相关注意事项,需要的请收藏

A:鹰嘴骨折脱位

B:用钢板和拉力螺钉固定鹰嘴的骨折脱位

C:用拉力螺钉和钢板固定鹰嘴骨折脱位

钢板可提供骨折愈合及早期活动度练习所需的所有稳定性,这样可最大限度地提高功能恢复。

钢板内固定最常见的缺点是内固定物存留引起症状。但很多近期的报道否定了这点。新型模板预弯钢板很薄,可于近端提供更多的螺钉选择,有锁定螺钉功能,且有匹配尺骨近端解剖外形的弧度而适用于延伸的骨折。

尺骨鹰嘴骨折的正确处理方式及相关注意事项,需要的请收藏尺骨鹰嘴骨折的正确处理方式及相关注意事项,需要的请收藏

A:鹰嘴的骨折脱位

B-C:用低切迹钢板固定

生物力学测试发现,在横行骨折中,钢板明显比张力带更能提供压缩应力。重建钢板和1/3管型也取得了一些成功,但我们不推荐使用。伤口并发症是使用钢板时最需要关心的问题,因为尺骨近端的软组织覆盖欠佳,以及肘关节屈曲时后侧软组织存在张力。

3.髓内钉固定

Rodriquez和 Eglseder描述了一种技术,髓内螺钉结合低切迹微型钢板周围固定。与那些报道使用3.5mm点接触动力加压钢板固定的结果相似。

Nijs等在21例患者中使用1枚鹰嘴截骨术的螺钉( OleON, Synthes, West Chester,PA)取得良好的效果。

Edwards等报道了使用一种多平面带锁髓内钉(OlecraNail,Mylad Orthopaedic Solutions,Mclean,VA)治疗鹰嘴近端骨折,包括复杂的不稳定类型。

尺骨鹰嘴骨折的正确处理方式及相关注意事项,需要的请收藏

A-B:肘关节骨折脱位

C-D:用多平面锁定髓内钉固定

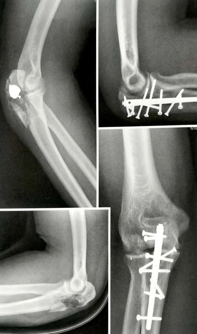
4.开放复位内固定鹰嘴骨折

患者体位及切口入路

患者取仰卧位或侧卧位。从鹰嘴尖开始做足够放置内固定的后侧皮肤切口。在比较复杂的损伤,如果需要,可以解剖出并保护好尺神经。仔细清创骨折边缘,确保不剥离粉碎性骨折块周围的骨膜和软组织。

简单骨折

检查关节面,用点式复位钳复位骨折。尺骨鹰嘴骨折的正确处理方式及相关注意事项,需要的请收藏

▲ 用持骨钳复位鹰嘴骨折

在放置钢板的平面以外暂时用克氏针固定:如果可能,可考虑用拉力螺钉固定。尺骨鹰嘴骨折的正确处理方式及相关注意事项,需要的请收藏

▲ 用克氏针暂时固定

将钢板(按照鹰嘴预塑形)放置在近端骨折块三头肌止点的上方。如果可能,近端的髓内螺钉应尽可能穿过骨折线。远近端螺钉的数目要充足。通过透视确定复位及螺钉通道。逐层关闭切口,肘关节伸直位前方石膏托固定。

复杂或粉碎性骨折

逐个复位并逐一用小拉力螺钉固定。如果有大的前方斜行骨块,将其固定于尺骨干。这将有助于稳定肘关节及方便逐个复位。不适合用拉力螺钉的地方可以临时用克氏针。复位压缩的软骨下骨骨块,用克氏针固定,用或不用移植骨支撑。复位近端骨折块并临时用克氏针固定。放置钢板。如果由于骨块大小或骨质问题固定不确实,考虑使用锁定螺钉。透视确认复位及螺钉放置情况。逐层关闭切口,肘关节伸直位夹板固定。

术后处理

夹板固定2~5d;如果肘关节稳定,保护下的活动度锻炼可以开始,并可在可忍受情况下进一步加强。

@头条健康 @生命召集令 @头条辟谣 #哆咖医生超能团# #健康大V创造营# #健康科普挑战赛#

转载请注明来自极限财经,本文标题:《鹰嘴骨折多久能好(尺骨鹰嘴骨折的正确处理方式及相关注意事项)》

每一天,每一秒,你所做的决定都会改变你的人生!

发表评论

快捷回复:

评论列表 (暂无评论,7人围观)参与讨论

还没有评论,来说两句吧...