早孕有卵黄囊未见胚芽的含义及可能原因如下卵黄囊的作用与观察时间卵黄囊是子宫内妊娠囊内的早期声像结构,通常经阴道超声在停经5周可见,经腹部超声需6周后显示其存在提示宫内妊娠,但并非胚胎发育的直接标志孕10周后卵黄囊逐渐消失,属于正常生理过程未见胚芽的可能原因1停经时间较短若受孕;卵黄囊是胚胎与母体间的重要连接,其存在通常意味着怀孕过程正常那么,孕囊在多大时会出现卵黄囊呢让我们一同探讨这个问题从末次月经的第一天算起,大约在六周时,可以通过超声检查观察到卵黄囊这意味着,在同房后大约四周,就有可能看到卵黄囊的存在在此期间,建议孕妇多喝水多休息,多吃。
卵黄囊的本质与作用卵黄囊是子宫内妊娠的标志性结构,位于胚体腹侧中心,由胚胎体褶形成后分化而来,内部包裹大量卵黄其核心功能是为早期胚胎提供营养支持,通过分泌激素和蛋白质维持妊娠环境稳定,是胚胎发育初期不可或缺的“营养仓库”卵黄囊的出现时间经阴道超声检查时,卵黄囊通常在孕5周左右首次被;一般情况下,末次月经第一天算起,六周可以观察到卵黄囊,也就是说同房后四周就可以看到注意多喝水多休息,多吃蔬菜水果,补充好叶酸喝维生素,要多吃核桃,苹果等孕囊和卵黄囊的区别是什么 孕囊是包裹所有普通组织的囊状物,卵黄囊在孕囊里面,以后发育成胚胎组织1孕囊 孕囊是原始的胎盘组织。
卵黄囊是胚胎发育早期的关键结构在受精卵着床后,胚胎开始分化,卵黄囊作为胚胎与母体之间物质交换的重要场所,会逐渐形成并出现在超声图像中正常情况下,一个妊娠周期内通常只有一个卵黄囊出现,对应一个胚胎的发育当彩超显示两个卵黄囊时,表明子宫内可能存在两个独立的胚胎发育单元这种情况多见于。
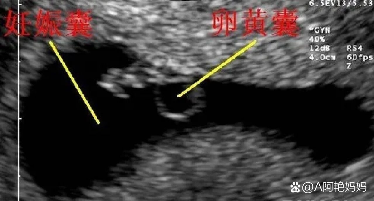
卵黄囊是子宫内妊娠囊内一个包含液体的小囊,在怀孕早期通过超声检查可清晰观察到其主要功能是为早期胚胎提供营养和激素支持,是胚胎发育的关键结构之一当超声显示一个卵黄囊时,医生会结合以下指标综合判断1 正常宫内妊娠若孕囊内同时可见胎芽和胎心搏动,通常提示胚胎发育正常,怀孕成功此时卵黄;囊内可见卵黄囊是指在孕囊内检测到卵黄囊结构,这一发现对评估胚胎发育具有重要科学意义,具体体现在以下方面1 胚胎发育进程的重要标志卵黄囊是早期胚胎发育的关键结构,通常在孕56周通过超声首次观察到其出现表明胚胎已进入正常发育轨道,是妊娠早期的重要里程碑若在预期时间内未检测到卵黄囊。
卵黄囊是胚胎造血的场所,一般在孕3周左右形成在孕早期若胚胎旁边可以看见卵黄囊,则考虑胎儿发育较好若孕周增大,只见孕囊,无卵黄囊或胎心胎芽,则考虑发育不好,可能发生流产或胚胎停育随着孕周的增长,卵黄囊慢慢变小,待孕12周左右便会消失卵黄囊为胚胎正常发育的表现,在孕6周多做B超;孕妈妈在怀孕之后就会接触到一些原来没有接触到过的名字一些专业的医学名词和身体部位之类的名词,都会出现在孕妈妈的生活中,但是有时候还是会感觉到困惑的那卵黄囊和胎芽是什么关系呢接下来就和小编一起来看看吧卵黄囊和胎芽的关系 1卵黄囊是胚胎发生体褶后,原肠就会分成胚内的原肠与胚外的。
“囊内可见卵黄囊”是超声检查中判断宫内早孕的重要依据,其意义可从以下三方面理解1 确认宫内妊娠的关键标志卵黄囊是胚胎发育早期形成的囊性结构,通常在孕5周左右通过超声首次观察到其存在直接证明受精卵已着床于子宫腔内,可排除宫外孕等异常妊娠情况临床诊断中,仅当超声图像明确显示孕囊内存在;“囊内见卵黄囊”是B超检查中提示妊娠的重要依据具体分析如下1 医学定义与妊娠确认卵黄囊是胚胎发育早期形成的囊状结构,位于妊娠囊内其出现是妊娠的特异性标志之一,因为并非所有囊性结构都代表妊娠组织只有当囊内观察到卵黄囊胎芽或胎心等妊娠特有结构时,才能确诊为妊娠例如,单纯囊肿或。
孕囊和卵黄囊是胚胎早期发育中密切关联的结构,二者在空间位置时间顺序及功能上存在明确关系空间位置关系卵黄囊位于孕囊内部孕囊是包裹胚胎及附属结构的囊性腔隙,由羊膜血管网和原始胎盘组织构成,为胚胎提供物理保护及物质交换通道卵黄囊则嵌于孕囊内,是胚胎发育初期的重要功能单位超声检查中;1 卵黄囊位于胚胎发育过程中的胚体腹方,它是由内层的胚外内胚层和外层的胚外中胚层组成的膜囊,内部富含卵黄2 卵黄囊与胚体中肠相通的紧缩部分称为卵黄囊柄在爬行类和鸟类中,卵黄囊很大,它具有贮存分解吸收和输送营养物质的功能3 随着胚体的增长和卵黄的逐渐消耗,卵黄囊会逐渐萎。
囊内见卵黄囊是超声检查中提示宫内早孕的重要表现,具体信息如下卵黄囊的定义与功能卵黄囊是位于孕囊内的早期胚胎结构,是子宫内妊娠的标志性特征其核心功能包括为胚胎提供营养支持参与激素分泌如人绒毛膜促性腺激素,HCG以及血细胞生成,对胚胎早期发育至关重要出现时间与临床意义卵黄囊通常在停经56周时通过阴道超声观察到它;内见卵黄囊是指在超声检查等影像学检查中,观察到孕囊内存在卵黄囊结构这一发现对评估胚胎早期发育情况具有重要意义,具体可从以下几方面理解卵黄囊是孕囊发育过程中的关键结构它通常在孕早期如孕56周出现,是胚胎早期发育的重要营养来源卵黄囊通过分泌营养物质,为胚胎提供初始生长所需的能量。
卵黄囊是一囊状结构,位于胚盘腹侧,其顶由内胚层构成形成过程卵黄囊的形成经历两个阶段初级卵黄囊由细胞滋养层向内板裂而成随后,内胚层周缘的细胞向腹侧增生包绕,形成次级卵黄囊随着胚胎发育和筒状胚的形成,卵黄囊被拉长,远端膨大为囊状结构,中间通过细管状结构与中肠相连主要功能;卵黄囊是女性怀孕后子宫内出现的特殊结构,由胚胎内细胞团分化而来位置与形态卵黄囊位于胚体腹方,包裹在卵黄外,呈丘陵状突起其壁由胚外内胚层和胚外中胚层构成,内部富含卵黄,并通过丰富的血管网络与胚胎相连发育时间与检测在受孕后,胚胎分化至一定阶段时形成卵黄囊通常于妊娠早期末次。

京公网安备11000000000001号
京ICP备11000001号
还没有评论,来说两句吧...