舌头根部长泡靠近喉咙,需根据具体病因采取相应措施若为喉咙炎或扁桃体炎此类炎症常伴随喉咙疼痛吞咽困难及发热治疗关键是保持充足水分摄入,避免脱水饮食需清淡,忌辛辣酸性或刺激性食物,防止加重喉咙刺激按医嘱使用退烧药或消炎药,控制炎症注意休息,减少用嗓,避免过度劳累若为口腔溃疡。
最近几天,我感到呼吸不顺畅,舌根靠近喉咙处长了很多肉疙瘩根据中医理论,这可能是因为脾肾功能减弱,导致营养吸收不良,血液循环受阻,进而使得头颈部气血不足时间一长,身体的运送能力下降,皮下组织开始出现异常增生,形成了这些肉疙瘩这提示我们,过度的纵欲饮食不节制性生活过度可能都是造成。
我也有,好了又长,估计是上火缺乏营养,喝点藿香正气液。
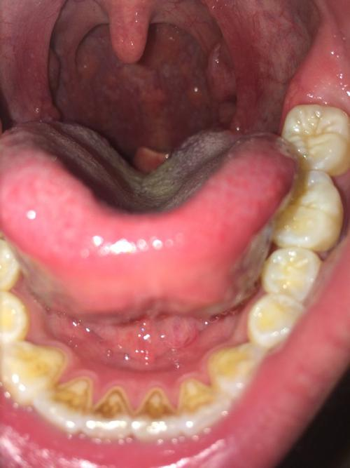
舌头根部出现很多红疙瘩可能是正常生理结构,也可能是疾病导致,具体原因如下正常生理结构舌头根部靠近喉咙的位置分布着轮廓乳头,这是人体正常的解剖结构,表现为凸起的红疙瘩状组织,每个人都存在,通常无症状,无需特殊处理疾病因素慢性咽炎咽喉黏膜长期受炎症刺激,可能导致舌根处黏膜肿胀发红。
在平常的生活中,舌头上起红疙瘩和小红豆都是身体上火的症状当然也可是能事情他原因,但是大部分的口腔的红疙瘩都是上火有炎症引起的需要我们及时的进行清火消炎尤其是对于一些身体抵抗力差的人来说,更加需要注意在平时的生活中多补充水分和维生素如果舌头上起来红疙瘩,很难受那么首先要多喝水。
舌头根部长很多小肉色泡泡且不痛,可能是正常生理结构,也可能是疾病导致,需进一步检查和诊断,具体如下可能是正常的生理结构轮廓乳头位于舌头根部靠近喉咙处,呈人字形排列,是正常口腔结构,可能看起来像小肉色泡泡舌扁桃体在舌根后部,是免疫系统的一部分,也可能呈现类似形态此外,舌头上的味蕾。
催吐的方法主要是刺激咽喉部位引发呕吐反射,但需注意,频繁催吐对健康有害以下是具体的催吐步骤及注意事项刺激咽喉部位将手指轻轻放到舌头根部,尽量靠近咽喉部位保持舌头静止不动,用手指在舌头根部进行横向的轻微扫动手指不要离开舌面,持续刺激直到引发呕吐反射注意事项避免频繁催吐催吐会对。
转载请注明来自极限财经,本文标题:《舌头根部靠近喉咙处起泡是怎么回事》

京公网安备11000000000001号
京ICP备11000001号
还没有评论,来说两句吧...