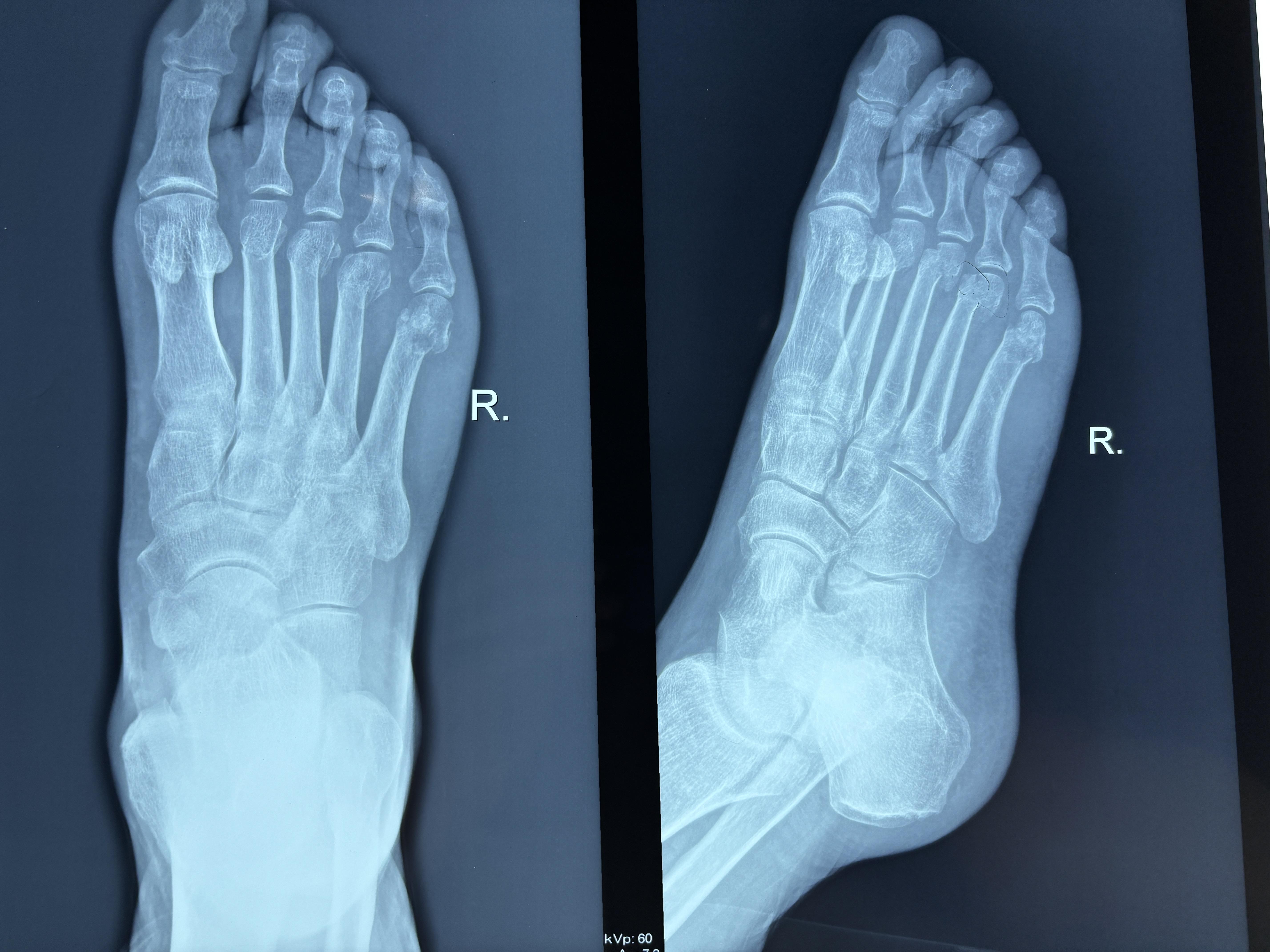
第五跖骨基底部骨折后能走路的时间与骨折愈合进程密切相关,一般需612周甚至更久,具体时间受年龄骨折类型治疗方式等因素影响骨折愈合阶段与走路时间的关系初期12周骨折后局部肿胀疼痛明显,需严格制动并固定,避免骨折断端移位,此时不能走路中期36周骨折断端形成纤维连接并。
跖骨骨折后一般需6~8周愈合,但具体走路时间因人而异,需综合评估后确定以下是关键要点1 愈合阶段与时间线骨折后1~2周为早期炎症期,断端形成血肿并启动修复3~8周进入原始骨痂形成期,骨折稳定性逐渐增强此后为骨痂塑形期,通过改建恢复骨骼正常形态通常6~8周后骨折初步愈合,但需医生通过。
跖骨骨折后一般8 12周左右逐渐尝试走路,但具体时间因人而异骨折愈合阶段对走路时间的影响初期1 2周骨折后局部肿胀疼痛,需固定处理,不能走路,以稳定骨折部位纤维愈合期3 6周骨折处形成纤维连接,肿胀和疼痛缓解,但不够坚固简单跖骨骨折且骨折端稳定者,可在拐杖辅助。
跖骨骨折后能走路的时间因人而异,通常在3至6个月,但受多种因素影响骨折类型是关键因素之一简单骨折如裂缝骨折因骨连续性破坏小,愈合较快,可能在4至6周初步愈合粉碎性骨折因骨折块多局部血运破坏严重,愈合时间延长,可能需要3至6个月甚至更久患者年龄直接影响愈合速度儿童新陈代谢。
转载请注明来自极限财经,本文标题:《跖骨骨折愈合时间为多久》

京公网安备11000000000001号
京ICP备11000001号
还没有评论,来说两句吧...