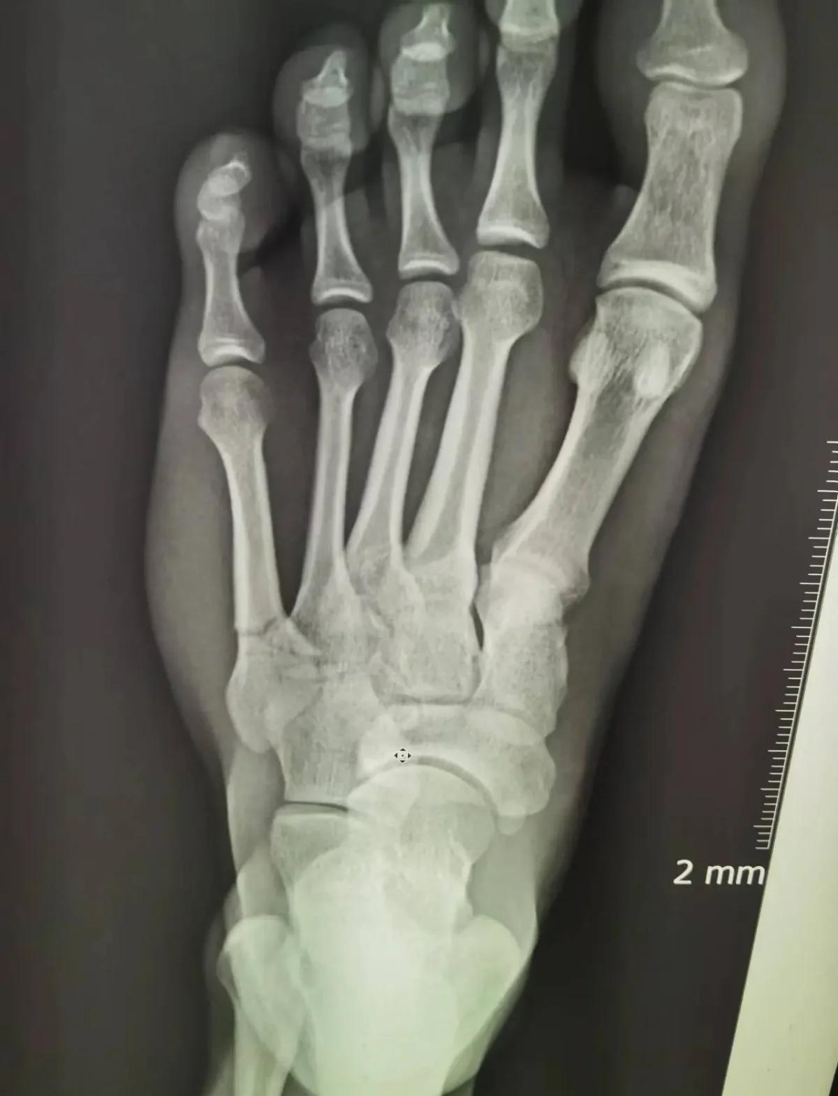
第五跖骨基底部为肌腱附着点,大多数由于扭伤引起的撕脱性骨折骨折以后恢复时间主要还是看此处骨折损伤程度如第五跖骨基底部为裂纹骨折或者单纯横断骨折有轻度移位的骨折,骨折端没有粉碎的骨折块,行石膏固定往往可以顺利愈合按照正常骨折愈合时间,一般72小时骨折端血肿机化,2周以后骨折端会有纤维。
足的第五跖骨基底部骨折后多久能走路,主要取决于患者的年龄工作性质骨折的严重程度以及治疗方法,具体如下患者年龄和工作性质年轻人愈合速度通常较快,而年龄较大的患者愈合速度较慢儿童可能在较短时间内,如2个星期左右,就能实现愈合骨折的严重程度骨折的移位程度是影响愈合时间的重要因素。
在临床上第五跖骨基底骨折是一种比较常见的病症,多数是由于直接暴力或者间接暴力而造成的发生第五跖骨基底骨折后,具体的愈合时间应该根据病人的年龄和治疗方法有关系如果是儿童发生第五跖骨基底骨折,采取保守治疗,一般在治疗后34周可以达到临床愈合如果是成人发生第五跖骨基底骨折,采取手术治疗,给予闭式复。
第五跖骨骨折愈合的时间一般是在三个月左右骨折初期首先要拍摄X片,如果第五跖骨骨折对位对线良好,可以使用石膏或支具制动,制动的时间在六周左右在六周的时候可以拍摄X片,如果骨折断端已有连续性骨痂通过,这就代表骨折具备了初始的稳定性,此时可以拆除石膏,在双拐的支撑下逐渐下地,部分负重行走。
一般情况下,第五跖骨骨折3个月到4个月能正常走路,但具体时间因人而异骨折严重程度是影响恢复时间的重要因素若第五跖骨骨折较轻,无明显移位,通常采取保守治疗,如手法复位石膏或支具固定患者需注意休息,避免过早负重行走,并遵医嘱进行康复锻炼这类患者骨折3个月左右可基本愈合,此时可逐渐。
转载请注明来自极限财经,本文标题:《第五脚跖骨骨折愈合时间》

京公网安备11000000000001号
京ICP备11000001号
还没有评论,来说两句吧...