急性阑尾炎怎么引起的(急性阑尾炎的罕见病因)

急性阑尾炎怎么引起的(急性阑尾炎的罕见病因)

东门雪珊 2025-10-11 要闻聚焦 6 次浏览 0个评论

急性阑尾炎的罕见病因,你见过吗?|病例分享

医脉通编译整理,未经授权请勿转载。

病例资料

患者男性,42岁。主因腹痛、腹泻3天于急诊就诊。患者腹痛始于脐周区域并转移至右下腹且逐渐加重。疼痛性质为刺痛,运动和饮食可使加剧疼痛,口服止痛药如扑热息痛可部分缓解,疼痛与低热和食欲下降有关。患者每日排水样便5次,无粘液和血液。患者自述因近期上呼吸道感染口服抗生素后出现腹泻。既往病史包括糖尿病,经口服降糖药物控制良好。无手术史。吸烟史15年。无遗传性胃肠道疾病家族史。

入院检查,患者呈病态面容,脸色苍白,无黄疸和发绀。生命体征显示心动过速(脉搏115次/min),低热(体温37.5℃),呼吸频率和血压均正常,室内空气中氧饱和度为99%。腹部触诊柔软,伴有弥漫性压痛,压痛在右髂窝处最为明显并伴有反跳痛。Rovsing征为阳性。初始实验室检查显示白细胞计数和炎症标志物(包括血沉和C反应蛋白)水平升高。肝、肾功能正常。

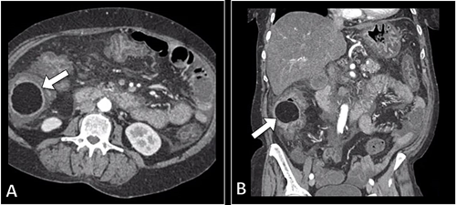
基于上述表现和检查结果,初步诊断为急性阑尾炎。行腹部CT扫描和造影以确认诊断,结果显示结肠壁增厚并伴有皱襞水肿,提示伪膜性结肠炎。此外,在盲肠中发现大小为6cm的腔内病变,病变边界清晰,为均匀脂肪密度无固体成分。该病变肿块造成部分结肠梗阻,提示为盲肠脂肪瘤(图1)。

急性阑尾炎的罕见病因,你见过吗?|病例分享

(图1 CT检查)

患者随后接受腹腔镜探查,行盲肠局限性阶段性切除伴阑尾切除术。切除组织病理学检查结果显示为盲肠脂肪瘤伴急性阑尾炎。患者术后恢复良好,随访无症状。

分析讨论

本例患者为盲肠脂肪瘤引起的急性阑尾炎,为非常罕见的急性阑尾炎病因。结肠脂肪瘤属结肠非上皮性良性肿瘤,由分化良好的脂肪组织形成,一般多见于中老年患者,女性多于男性,盲肠及升结肠部位发病率高于远端结肠。

多数结肠脂肪瘤患者无症状,在结肠镜检查或手术中偶然发现。当瘤体较大时,可出现不全肠梗阻及肠套叠等临床表现。若瘤体表面黏膜糜烂溃疡出血,则会出现大便性状改变,局部炎症刺激,则会出现肠道功能紊乱,出现间断腹痛、腹泻及便秘等临床表现。本例患者结肠脂肪瘤合并急性阑尾炎表现非常罕见。脂肪瘤的大小和部位决定了临床表现,值得注意的是,结肠脂肪瘤可能会造成诊断困难,在某些情况下可能会被误诊为恶性肿瘤。

结肠脂肪瘤多位于黏膜下层,结肠镜下可表现为有蒂或无蒂半球状隆起,黄色,半透明,活检钳压迫出现压痕,活检可出现下层黄色脂肪。超声内镜可见黏膜下层界限清楚的均匀高回声肿块。钡灌肠双对比造影为首选,可见黏膜下肿瘤圆形或椭圆形,边界光滑,肿块可随体位和压力改变而发生形态学变化,CT检查可提示病灶脂肪密度。

关于结肠脂肪瘤的治疗,对于小的有蒂病变可行内镜下切除术。对于≥2cm的脂肪瘤出现临床症状者建议手术切除,手术类型主要取决于病变大小和部位。

结肠脂肪瘤属于良性肿瘤,预后良好。临床医生在成年人群中遇到疑似急性阑尾炎患者时,应保持对良恶性肿瘤的高度怀疑。CT检查在诊断和识别潜在病理学方面起着非常重要的作用。腹腔镜结肠肿瘤切除术是大型结肠脂肪瘤的首选方法。

急性阑尾炎的罕见病因,你见过吗?|病例分享

参考来源:

1.Alnashri Y A, Alhuzali A M,et al. (November 09, 2021) Cecal Lipoma: A Rare Etiology of Acute Appendicitis in Adults. Cureus 13(11): e19423.

2.陈建伯.盲肠脂肪瘤一例[J].中华普通外科杂志,2014,29(01):43.

3.许贤姬,王晓辉,俞红女,王宇.肠套叠为首发症状的结肠脂肪瘤1例[J].临床消化病杂志,2018,30(06):389-390.

急性阑尾炎的罕见病因,你见过吗?|病例分享

转载请注明来自极限财经,本文标题:《急性阑尾炎怎么引起的(急性阑尾炎的罕见病因)》

每一天,每一秒,你所做的决定都会改变你的人生!

发表评论

快捷回复:

评论列表 (暂无评论,6人围观)参与讨论

还没有评论,来说两句吧...