神经炎吃什么药效果好(甲钴胺不仅能修复受损神经)

神经炎吃什么药效果好(甲钴胺不仅能修复受损神经)

后博涛 2025-10-17 要闻聚焦 6 次浏览 0个评论

“医生,你的医术真是好,我爸的带状疱疹消下去后没再痛了,睡也睡得香,吃也吃得香,比外面那些啥子偏方还好用,他们好多老人都没治好。”

刘女士带着年迈的父亲来复诊,她爸患的是带状疱疹,也是人们常说的蛇缠腰,很多老人抵抗力下降后容易发生,这种病会侵犯肋间神经,引起肋间神经痛,患者常自述电击样、针刺样疼痛,如果处理不当会留下后遗神经痛,即使皮损消了也会一直痛,影响生活质量,很难治愈。

其实并不是我的医术好,是我们的药太好了。治疗带状疱疹的关键是除了抗病毒治疗,还要尽快地营养神经,促进神经的修复。而担任此角色的就是甲钴胺。

甲钴胺不仅能修复受损神经,还能用于这3种常见病的治疗,好用

不止带状疱疹,甲钴胺还可以治疗前庭神经炎、视神经炎、多发性骨髓瘤、甚至肺癌的治疗都可能看到它的身影,只要是和周围神经损伤修复有关的,它几乎都能参和一脚,医生和患者都赞不绝口,便宜实惠效果棒,那甲钴胺到底是什么药物,为什么它作用这么大?

甲钴胺是维生素B12的一种衍生物,维生素B12称为钴胺素,分子中含有钴原子,这个钴能与-CH3或5-脱氧腺苷等基团相连,形成甲基钴胺也叫甲钴胺和5-脱氧腺苷钴胺,连接不同的基团可以有不同的功能。维生素B12有两种辅酶形式,分别为甲基钴胺和5-脱氧腺苷钴胺。

甲钴胺不仅能修复受损神经,还能用于这3种常见病的治疗,好用

辅酶是种可以在不同的酶之间转移基团的工具,而基团可以让酶失活也可以让酶激活,像是一个开关,在人体内的酶促反应中有重要的作用。

辅酶大多由维生素及其衍生物来承担,这些物质是人体不能合成,需要从外界获取的,不过大多是微量元素,正常的饮食就可以补充。

甲钴胺不仅能修复受损神经,还能用于这3种常见病的治疗,好用

那么甲钴胺是如何调节我们神经的呢?

1. 促进细胞内核酸、蛋白质的合成,甲钴胺利于神经细胞内细胞器的转运,在由高半胱氨酸合成为蛋氨酸过程中起辅酶作用,尤其参与核苷酸的合成,有助于细胞尤其是红细胞正常分裂;

2. 促进物质在轴索内进行顺向和逆向的轴浆转运,以及轴索本身的再生;

3. 参与和促进髓鞘磷脂合成,帮助修复损伤的髓鞘,其他维生素B类药物无此作用;

4. 参与神经递质乙酰胆碱的生物合成,保证突触前膜和脑内乙酰胆碱含量,使受损神经细胞内降低的乙酰胆碱量恢复到正常水平,保证神经的兴奋性。该作用障碍与阿尔兹海默症相关。

甲钴胺不仅能修复受损神经,还能用于这3种常见病的治疗,好用

总结起来就是甲钴胺可以通过影响生物合成和物质运输等多种方式修复神经。但针对的是损伤较轻的神经细胞,如果连细胞核都受损了,那修复的可能性非常小。所以要在神经细胞受损早期,越早早使用效果越佳。

维生素B12也有这个效果,但甲钴胺的优势在于它更容易被吸收,而且直接就是活性状态,免去了其他繁琐的步骤,直接被人体利用。

“医生啊,你说这甲钴胺还能治啥子病,我听别个说还能治贫血,是不是真的哦,我感觉我最近气色不太好,偶尔还头晕,是不是也能用用。”

“是真的,但只是针对特定的贫血,如缺乏维生素B12造成的巨幼细胞性贫血,能不能用要先看看你的贫血类型。”

除了修复受损神经,甲钴胺还对这3种疾病也有很好的治疗作用:

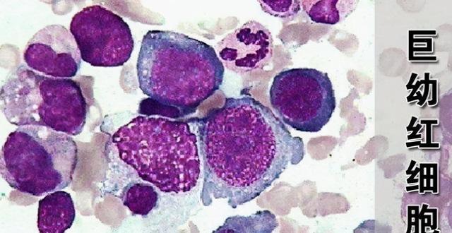
1. 巨幼细胞性贫血

因为维生素B12参与由脱氧核苷合成胸腺嘧啶过程,促进核酸、蛋白质的合成,如果缺乏维生素B12,细胞DNA的合成受阻,不能正常分裂,本来应该分成两份的胞浆就一直存在一个细胞里面,红细胞个头虽大,但数量不足,且这样的红细胞携氧功能是异常的,造成机体贫血,而且这种贫血吸氧、补铁不能纠正,被称为恶性贫血。

甲钴胺不仅能修复受损神经,还能用于这3种常见病的治疗,好用

尤其是妊娠期的孕妇,由于对叶酸的需求量大,对维生素B12需求也上来了,所以常常会有维生素B12相对不足,引起巨幼细胞性贫血,这时候口服甲钴胺可缓解症状。

甲钴胺不仅能修复受损神经,还能用于这3种常见病的治疗,好用

甲钴胺一开始也是日本卫材公司开发研制用于抗贫血的药物,后来因为它在很多周围神经疾病的疗效很好,在这神经方面也就越来越引起关注。

2. 糖尿病视网膜病变

糖尿病晚期患者的视网膜常有小血管充血、渗出,糖尿病患者常有氨基酸代谢异常,造成高同型半胱氨酸(Hcy)血症,而同型半胱氨酸的生理作用是维持机体内含硫氨基酸的平衡,主要影响内皮和平滑肌细胞功能,影响血管壁的结构和血液凝固系统。

甲钴胺不仅能修复受损神经,还能用于这3种常见病的治疗,好用

Hcy可直接或间接影响血管内皮细胞的结构和功能,促进平滑肌细胞向血管壁增殖、迁移,增加凝血性,增加纤维蛋白酶生成及促进脂质过氧化反应等,引起动脉粥样硬化和血栓形成,从而导致了血管病变的发生发展。临床研究已证明高同型半胱氨酸血症是视网膜血管病变的独立危险因素。

体内Hcy有两条转归途径:

(1)由四氢叶酸提供甲基,维生素B12作为辅酶,在蛋氨酸合成酶作用下,Hcy可发生甲基化,再合成蛋氨酸;

(2)少部分在胱硫醚合成酶催化下,VitB6作为辅酶,与丝氨酸缩合成胱硫脒。因此,B族维生素缺乏时,可导致Hcy在体内的蓄积,是造成高Hcy血症的重要原因。维生素B12可以作为辅酶参与同型半胱氨酸的代谢,将其变为无害的蛋氨酸。有临床试验表明,对糖尿病患者使用甲钴胺有助于预防及延缓糖尿病视网膜病变的进程。

3. 青光眼

青光眼患者常常因为眼压增高而感到眼睛痛、头痛,还严重影响视力,甚至失明。许多临床研究显示,治疗青光眼时长期配合使用甲钴胺,可以缓解视力下降,改善视野情况及恢复视觉功能,且不增加不良反应,安全性高。

甲钴胺不仅能修复受损神经,还能用于这3种常见病的治疗,好用

有以上疾病的朋友可以咨询医生或自己补充甲钴胺,因为它就是维生素,安全性很高,所以不必担心乱用药。市面上有很多保健品,有些甲钴胺卖的很贵,可能是复方制剂,还包括了其他营养素,但我们平时只需要单纯的甲钴胺,最多再配上其他B族维生素就可以了,不用买贵的。服用一段时间后可以去复查,看看效果是否满意,是否需要调整剂量。

通常来讲,甲钴胺可以有维生素B12转换而来,而维生素B12是微量元素,只需要一点点,如果我们不挑食,日常饮食是可以满足的,除了妊娠期妇女因为需求增大,需要额外补充。如果出现了维生素B12缺乏的症状,比如贫血、头晕、面色苍白、外周神经炎等,可能是胃肠道分泌的内因子不够,影响了维生素B12的吸收,这时要去医院看看查找病因,及时治疗。

转载请注明来自极限财经,本文标题:《神经炎吃什么药效果好(甲钴胺不仅能修复受损神经)》

每一天,每一秒,你所做的决定都会改变你的人生!

发表评论

快捷回复:

评论列表 (暂无评论,6人围观)参与讨论

还没有评论,来说两句吧...