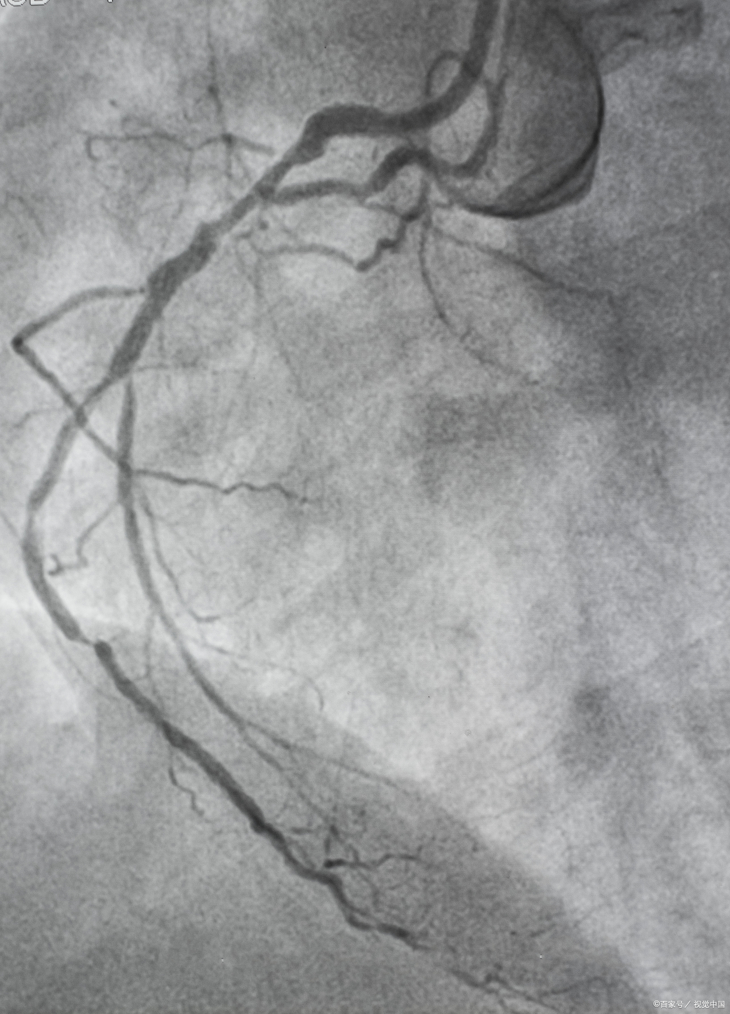
进入冠状动脉通过冠状动脉窦进入到冠状动脉注射造影剂对冠状动脉注射造影剂,造影剂会通过冠状动脉流动并显影,从而显示冠状动脉的形态结构观察与判断在X线下观察造影剂的显影情况由于冠状动脉通过造影剂的显影是二维平面,因此患者需要变换不同的体位,以便从不同角度观察冠状动脉造影剂填充的情况。
冠状动脉血管造影检查是通过以下步骤进行的穿刺外周动脉冠状动脉血管造影是一种微创的介入手术检查主要通过外周动脉进行穿刺导管送入主动脉根部穿刺后,导管和导丝会沿着外周动脉送入到主动脉根部主动脉根部存在左右冠状动脉窦注射造影剂并显影通过导管对相应的冠状动脉注射造影剂造影剂会使。
冠状动脉造影是通过以下步骤进行的创伤性检查桡动脉穿刺首先,医生会选择患者的桡动脉进行穿刺这一步骤是为了建立进入血管系统的通路植入动脉鞘穿刺成功后,医生会在穿刺部位植入一个动脉鞘,这是一个小管状装置,用于保护血管并作为后续导管插入的引导送入引导钢丝通过动脉鞘,医生会送入一根。
冠状动脉造影是一种微创的介入手术,具体做法如下选择外周动脉通常选择右侧的桡动脉,即右手腕部的血管如上臂血管条件不佳或需进行复杂操作,则可能选择大腿根部的股动脉插入导管在选定的动脉位置做一小切口将导管插入该动脉,并沿着动脉一直送到心脏表面的冠状动脉注射造影剂通过导管向冠状动脉内注射造影剂造影剂会使冠状动脉的形态在X光下清晰显示出来注意冠状动脉造。
X光观察在X光线下,观察造影剂在冠状动脉内的流动情况,从而判断冠状动脉是否存在狭窄闭塞或者斑块等问题整个检查过程 如果操作熟练,一般15分钟左右就可以完成整个心脏血管造影检查检查的意义 冠状动脉的造影检查主要为患者进一步做冠状动脉增强进行前期的准备 若发现血管有重度狭窄明显闭塞或。
冠状动脉血管造影检查是通过以下步骤进行的局部麻醉与穿刺选择在人体的桡动脉或股动脉进行局部麻醉对麻醉部位进行局部穿刺,以便引入导管导管引入与造影剂注射导管通过桡动脉或股动脉进入,并沿着动脉路径直达冠状动脉的开口处向冠状动脉内注射造影剂,以便在X线下清晰显示冠状动脉的形态X线观察与。
冠脉造影检查是一项相对安全的程序,但仍有可能出现一些并发症,例如出血感染或过敏反应因此,患者在接受检查前需要告知医生自己的健康状况和药物使用情况检查结束后,患者需要在恢复室休息一段时间医生会根据检查结果,为患者提供相应的治疗建议如果冠状动脉存在狭窄或堵塞,医生可能会建议进行进一步的。
转载请注明来自极限财经,本文标题:《冠状动脉造影怎么做》

京公网安备11000000000001号
京ICP备11000001号
还没有评论,来说两句吧...