胫骨平台骨折恢复过程需要注意什么(科普工作委员会胫骨平台骨折术后该如何正确康复)

胫骨平台骨折恢复过程需要注意什么(科普工作委员会胫骨平台骨折术后该如何正确康复)

羽鸣 2025-10-14 新鲜城事 5 次浏览 0个评论
【科普工作委员会】胫骨平台骨折术后该如何正确康复

胫骨平台骨折术后该如何正确康复

孙成伟 王姗姗 刘晓楠 杜青

上海交通大学医学院附属新华医院

中国康复医学会科学普及工作委员会

【科普工作委员会】胫骨平台骨折术后该如何正确康复【科普工作委员会】胫骨平台骨折术后该如何正确康复

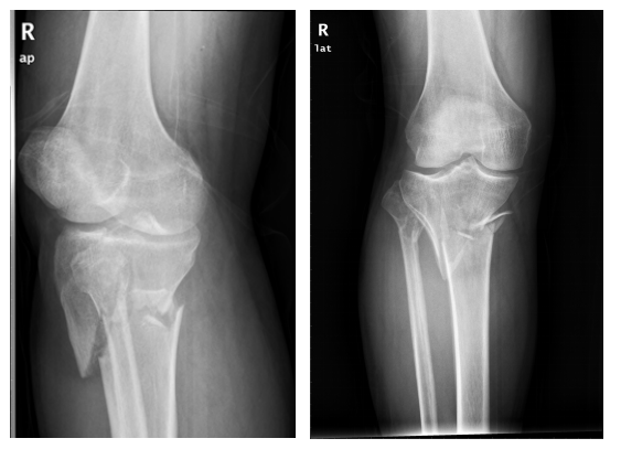
骨折是我们在日常生活中常见的一种疾病,通过手术治疗往往可以达到稳定的固定作用。手术固然重要,但术后功能康复亦不能忽视。小编最近就遇到一位胫骨平台骨折患者,该患者在4个月前发生了车祸导致胫骨平台骨折,并进行切开复位内固定手术治疗。但由于在术后一直畏痛少动,未进行积极地康复治疗,致使患侧膝关节难以像健侧一样伸直,下肢功能急剧下降。为了避免出现以上情况,今天小编就与您分享,胫骨平台骨折术后该如何正确康复。

【科普工作委员会】胫骨平台骨折术后该如何正确康复【科普工作委员会】胫骨平台骨折术后该如何正确康复

胫骨平台骨折概述

胫骨平台是膝关节重要的负荷组成部分,也是膝关节创伤中最常见的骨折之一,多发生于强烈的外翻和内翻应力合并轴向载荷时,同时股骨髁对其下胫骨平台有压力和剪切力,可造成劈裂骨折、塌陷骨折或两者兼有。当发生胫骨平台骨折后,需要通过手术切开复位固定,术后要及时进行康复训练,以加快骨折愈合,促进患肢功能恢复。

【科普工作委员会】胫骨平台骨折术后该如何正确康复【科普工作委员会】胫骨平台骨折术后该如何正确康复【科普工作委员会】胫骨平台骨折术后该如何正确康复【科普工作委员会】胫骨平台骨折术后该如何正确康复

术后康复

一、康复原则

1.肢体固定与训练同时进行。

2.确保固定的可靠性,以保障康复训练正常进行。

3.循序渐进,避免再次损伤。

二、术后体位摆放

1.仰卧位:患肢抬高到膝关节正后方处再向大腿近端延伸约10厘米(图中红色竖线标记)。

【科普工作委员会】胫骨平台骨折术后该如何正确康复

2.侧卧位:健腿在下适当弯曲,双腿间放置枕头(枕头要足够蓬松且长度超过小腿),患侧腿借助枕头垫起呈向外轻度打开的状态(高于心脏)。

【科普工作委员会】胫骨平台骨折术后该如何正确康复

三、康复措施

术后0~3天

1.术后麻醉消除后即可开始进行踝泵运动;

【科普工作委员会】胫骨平台骨折术后该如何正确康复【科普工作委员会】胫骨平台骨折术后该如何正确康复

2.股四头肌、腘绳肌主动静力性等长收缩练习。

【科普工作委员会】胫骨平台骨折术后该如何正确康复

术后3~7天

1.疼痛缓解:患肢直抬腿、侧抬腿练习,加强下肢肌力;

【科普工作委员会】胫骨平台骨折术后该如何正确康复【科普工作委员会】胫骨平台骨折术后该如何正确康复

2.改善膝关节活动度:在康复医生指导下使用持续性被动运动装置CPM进行持续性被动活动,初期角度以30°为宜(使用后进行冷敷10~20分钟);

【科普工作委员会】胫骨平台骨折术后该如何正确康复

3.消除肿胀、改善膝关节活动度:髌骨松动(患者用拇指、食指捏住髌骨进行上下左右推动)。

【科普工作委员会】胫骨平台骨折术后该如何正确康复【科普工作委员会】胫骨平台骨折术后该如何正确康复

术后2~3周

1.根据患者恢复情况,以双拐辅助下地行走,患肢悬空不可负重。

【科普工作委员会】胫骨平台骨折术后该如何正确康复

2.膝关节在无痛或微痛范围内的主动屈伸练习(在膝关节屈伸范围极限处保持1分钟,每日4~6次)。

【科普工作委员会】胫骨平台骨折术后该如何正确康复【科普工作委员会】胫骨平台骨折术后该如何正确康复【科普工作委员会】胫骨平台骨折术后该如何正确康复

术后4~6周

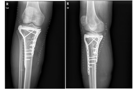
1.拍摄膝关节X光片复查,并根据骨折线愈合情况及专业医生建议决定是否开始进行患肢负重练习。

2.使用体重秤开始进行患肢负重练习,患肢负重量从体重的10%开始,逐渐增加到20%、30%直至全体重。

【科普工作委员会】胫骨平台骨折术后该如何正确康复【科普工作委员会】胫骨平台骨折术后该如何正确康复

3.前后及侧向跨步平衡练习。

【科普工作委员会】胫骨平台骨折术后该如何正确康复

4.靠墙静蹲练习:随着患肢力量逐渐增加,同时增加下蹲角度,保持1~2分钟,每日10~20次。

【科普工作委员会】胫骨平台骨折术后该如何正确康复【科普工作委员会】胫骨平台骨折术后该如何正确康复

5.上下台阶练习:每组10次,每日5~10组。

【科普工作委员会】胫骨平台骨折术后该如何正确康复【科普工作委员会】胫骨平台骨折术后该如何正确康复【科普工作委员会】胫骨平台骨折术后该如何正确康复

正确的骨折康复对患者预后十分重要,可在骨折早期防止并发症、加快骨折愈合和肢体功能恢复,需遵医嘱循序渐进康复训练,才可以使未来功能恢复最大化!

【科普工作委员会】胫骨平台骨折术后该如何正确康复

END

【科普工作委员会】胫骨平台骨折术后该如何正确康复

文章来源:中国康复医学会科普工作委员会

【科普工作委员会】胫骨平台骨折术后该如何正确康复

转载请注明来自极限财经,本文标题:《胫骨平台骨折恢复过程需要注意什么(科普工作委员会胫骨平台骨折术后该如何正确康复)》

每一天,每一秒,你所做的决定都会改变你的人生!

发表评论

快捷回复:

评论列表 (暂无评论,5人围观)参与讨论

还没有评论,来说两句吧...