2 泌尿系统感染细菌通过尿道逆行感染如大肠杆菌血行感染或淋巴道感染进入泌尿系统,可能引发膀胱炎尿道炎或肾盂肾炎典型症状包括尿频尿急尿痛腰痛发热感染多见于免疫力低下者糖尿病患者或长期留置导尿管的患者3 泌尿系统结构异常输尿管囊肿多囊肾马蹄肾等先天或后天畸形可能。
问题二马蹄肾怎么治疗 你好马蹄肾为先天性畸形,但是很多人终生没有临床表现,它所导致的危害主要是引起肾脏积水及肾功能损害,就你所说的如果CT只是表现为壶腹性肾盂,一般不需要处理问题三马蹄肾需要注意什么 百度 病因病理 两侧肾脏的上极或下极相融合成马蹄肾马蹄肾发生在胚胎早期,是。
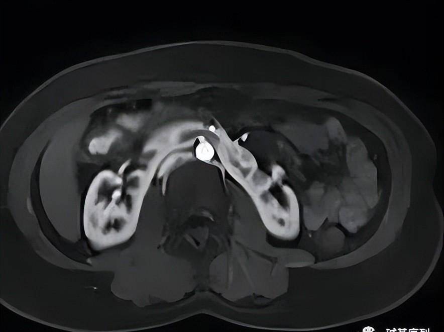
马蹄肾是最常见的融合肾,是两侧肾脏下极由实质性峡部或者纤维性峡部连接而成马蹄肾的峡部位于主动脉和下腔静脉前方13的马蹄肾合并其它畸形,发现马蹄肾要做全身检查,排除合并心血管胃肠道泌尿生殖系统畸形主要是做B超CT检查13的小孩子没有症状,不需要特别处理如果出现积水感染或。
你好 正常人应该有左右各一个肾脏,但是有极少数人由于多种因素,导致泌尿系统在胚胎发育过程中出现的异常孤立肾就是其中一种,其它畸形还包括异位肾马蹄肾多囊肾等等在健康人中,孤立肾对于人体没有任何影响但是在肾功能不全的病人中,如果是孤立肾的话,在应用药物时,就应该注意避免使用对。
肾积水是因尿液排出受阻,导致尿液在肾盂肾盏内潴留,肾内压力升高,肾盂肾盏扩张,肾实质萎缩的疾病肾积水的原因尿路梗阻是最常见因素,如输尿管结石前列腺增生尿道狭窄等导致尿液排出受阻肾脏发育异常,如肾盂输尿管连接部狭窄马蹄肾等,也可能引发肾积水此外,神经源性膀胱膀胱神经控制异常或输尿管反流尿液从膀胱逆流回肾脏。
一病因1输尿管梗阻最常见原因,包括输尿管结石占50%以上输尿管狭窄如炎症后瘢痕形成输尿管肿瘤良性或恶性等结石可直接堵塞管腔,肿瘤则通过压迫或浸润导致梗阻2泌尿系统结构异常先天性畸形如肾盂输尿管连接部狭窄UPJO马蹄肾双肾融合等,因解剖异常导致尿液。
拥有马蹄肾的个体可能伴随其他发育异常,如肾盂输尿管连接部的狭窄重复输尿管膀胱输尿管返流等生理变化融合的肾脏改变了原本的血管和排尿管道路径尿液从肾脏排出的位置升高,增加了尿液流动的阻力可能的并发症肾积水由于尿液流动阻力增加,可能导致肾积水结石肾积水长期存在可能形成结石。
转载请注明来自极限财经,本文标题:《马蹄肾是怎么回事》

京公网安备11000000000001号
京ICP备11000001号
还没有评论,来说两句吧...