局部疼痛这是尾骨骨折后最常见的症状,疼痛部位集中在受伤区域疼痛程度因人而异,坐位时疼痛会明显加重,因为身体重量压迫尾骨会刺激骨折处卧位时疼痛可能相对减轻儿童可能因无法准确表达而哭闹烦躁老年人对疼痛敏感性降低,但仍会有局部不适若患者有骨质疏松等既往病史,疼痛可能更难缓解,骨。
1 疼痛尾骨骨折后,患者臀部或尾骨区域可能出现持续性疼痛,尤其在坐下弯腰咳嗽或排便时加重疼痛可能持续数周至数月,甚至在骨折愈合后仍存在慢性疼痛,影响日常活动2 坐立不安由于疼痛和局部不适,患者可能难以长时间保持坐姿,尤其在硬质座椅上会加重症状,导致坐立不安,需频繁调整姿势以缓解不。
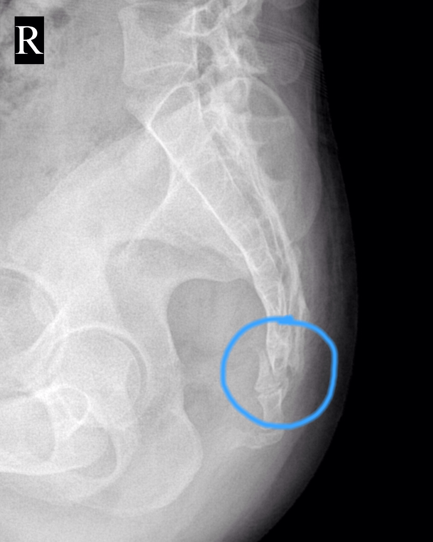
3症状辅助判断尾骨骨折典型表现为局部疼痛尤其坐姿或按压时肿胀及活动受限如坐立困难若受伤后出现这些症状,需高度警惕尾骨骨折可能注意事项尾骨骨折的诊断需由专业医生完成,避免自行判断延误治疗孕妇老年人或合并其他疾病者,治疗方式可能需调整如减少药物使用,需个体化评估恢。
尾骨骨折的症状主要有以下几类局部疼痛尾骨骨折后,受伤部位会出现明显疼痛,尤其在坐下站立排便等动作时加剧这是因为动作会牵拉或压迫尾骨周围组织,刺激神经末梢约80%以上的患者会首先出现尾骨疼痛,疼痛程度因个体差异和骨折严重程度而异,轻度骨折可能为隐痛,重度骨折则可能表现为剧烈疼痛放射。
尾骨骨折的症状因骨折严重程度有无移位等因素而存在差异,常见症状如下1 疼痛尾骨骨折后,患者会感到尾骨区域持续性或活动时加剧的疼痛,尤其在坐姿弯腰或排便时疼痛明显疼痛可能向骶部或臀部放射,部分患者可能因疼痛无法正常坐立,需采取侧坐或前倾姿势缓解2 局部皮肤红肿骨折部位周围软组织。
尾骨骨折的症状主要包括以下几方面局部疼痛尾骨骨折后,受伤部位会出现明显的局部疼痛,尤其在坐位时疼痛加剧这是因为坐姿时身体重量直接压迫尾骨,刺激骨折处引发刺痛或胀痛,活动尾骨相关部位时疼痛可能进一步加重不同年龄人群对疼痛的感知存在差异儿童可能因无法准确表达而表现为哭闹不愿坐立老年。
一病史与症状评估需明确受伤史,关注尾骨部位疼痛肿胀及排便时疼痛加重等典型症状明确受伤史询问患者是否有尾部直接暴力损伤史,如高处跌落臀部着地重物撞击尾骨等儿童可能因玩耍摔倒受伤,成年人则多见于工作或运动意外有明确外伤史者需高度怀疑尾骨骨折关注典型症状尾骨骨折后常表现为尾骨。
1尾部疼痛这是尾骨骨折最突出的症状骨折发生后,尾骨部位会出现明显且剧烈的疼痛,尤其在活动触碰或按压时疼痛加剧疼痛可能严重影响日常生活,例如行走坐立或弯腰时感到明显不适2压痛在尾骨区域可触及明显的压痛点,按压时会引发剧烈疼痛这是由于骨折断端刺激周围软组织如肌肉韧带或神经。
骨折愈合过程中形成的异常瘢痕组织或局部神经受刺激,可能引发长期疼痛儿童因组织修复能力及神经敏感度差异,恢复不佳时易遗留慢性疼痛成年人则因局部病理变化持续影响神经传导,导致疼痛持续存在长期久坐等不良姿势会加重疼痛,因尾骨持续受压会刺激受伤组织,加剧症状二排便不适尾骨骨折可能影响排便功能骨折后尾骨。
尾骨骨折可能留下的后遗症如下1 疼痛尾骨骨折后,局部疼痛是常见症状,尤其在坐下起身或受压时更为明显疼痛可能持续数周至数月,少数情况下会发展为慢性疼痛,长期影响生活质量疼痛程度与骨折严重性相关,移位明显的骨折或愈合不良者风险更高2 坐姿不适骨折可能导致尾骨区域结构改变,使患者。
尾骨骨折的症状主要包括以下几方面疼痛尾骨骨折后,患者通常会出现明显疼痛,尤其在坐下起身或按压尾骨时加剧疼痛可能持续数天至数周,严重程度因个体差异而异肿胀与淤血骨折部位因局部出血和组织损伤,可能出现肿胀和淤血,表现为受伤区域皮肤发紫触痛明显活动受限由于疼痛和肿胀,患者可能。
尾骨骨折的症状主要有以下表现1疼痛尾骨区域出现剧烈疼痛,尤其在坐下起身或局部按压时加剧疼痛可能向臀部下腰部或会阴部放射,咳嗽打喷嚏或排便时也可能因肌肉收缩诱发疼痛2肿胀与淤血受伤部位皮肤可能出现肿胀,伴随青紫色淤斑,这是由于皮下毛细血管破裂出血所致肿胀范围可能因损伤程度。
尾骨骨折的症状主要包括以下方面疼痛尾骨骨折后,患者常出现持续性疼痛,尤其在坐下站立或按压尾骨时加剧疼痛可能持续数天至数周,具体时长因个体差异和损伤程度而异部分患者可能因疼痛影响睡眠或日常坐姿调整肿胀与淤血受伤部位会出现局部肿胀,这是由于软组织损伤导致血管通透性增加,液体渗出。
判断尾巴骨尾骨是否骨折,需结合外伤史症状表现及医学检查综合判断1 外伤史是重要线索尾骨骨折通常由直接外力导致,如滑倒时臀部着地从高处坠落或遭遇撞击若近期有此类明确外伤史,需高度警惕尾骨损伤的可能2 典型症状提示骨折风险尾骨骨折后,患者常出现以下症状腰骶部压痛与叩击痛轻。
尾骨骨折后一般不建议立即走路,是否可以走路需根据骨折严重程度和恢复情况综合判断急性期骨折后24周内禁止行走尾骨骨折后,局部会出现疼痛肿胀等症状若此时立即行走,身体重量会持续压迫尾骨,导致以下风险1损伤加重骨折部位可能因压力进一步裂开,甚至引发粉碎性损伤2疼痛加剧行走时。

京公网安备11000000000001号
京ICP备11000001号
还没有评论,来说两句吧...