肾囊肿多大需要治疗(肾囊肿5 cm不必马上手术)

肾囊肿多大需要治疗(肾囊肿5 cm不必马上手术)

势翠绿 2025-10-12 都市视野 5 次浏览 0个评论

肾脏的囊性病变(也可称为囊性占位)是一种比较常见的疾病。随着老百姓健康意识的不断增强和体检中超声检查的广泛使用,全中国每年超过6000万人次进行体检,越来越多的人都发现存在肾脏囊性占位。据流行病学调查显示:肾脏囊性占位中,单纯性肾囊肿占绝大多数(>90%),总的发病率约7.7%,且年龄越大,发病率越高,≤40岁的人群发病率约为3.0%,而≥60岁则为23.0%,男性多于女性。

肾囊肿>5 cm不必马上手术,但囊性肾癌无论大小,都应尽快切除

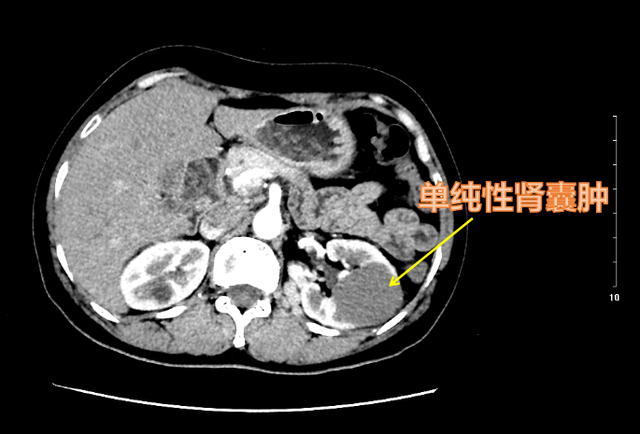
肾囊肿是指肾组织内出现单个或多个囊性包块,内含液体或半固体碎片。

肾囊性病变的手术指征

由于单纯性肾囊肿是良性病变,对人体危害较小。一般认为符合下列条件之一,可以考虑手术:

囊肿最大直径>5 cm; 合并肾积水、腰痛、血尿(显微镜下或肉眼可见)等;

但是在肾脏囊性占位中,除了单纯性肾囊肿以外,还有一种非常危险的"囊肿"—"囊性肾癌"!一旦发现,必须按肿瘤根治性原则,限期行手术切除!

肾囊肿>5 cm不必马上手术,但囊性肾癌无论大小,都应尽快切除

单纯性肾囊肿边界清晰,预后良好!

沉默的杀手

我的邻居许先生今年45岁,三年前体检B超无意中发现双侧肾脏各有一个囊性占位(左侧最大径2 cm,右侧最大径3 cm),当时超声考虑是单纯性肾囊肿,他也没有啥不舒服,后来一直也没有复查。直到两周前的一天清晨,他起床后上厕所发现自己肉眼血尿,并有左侧腰部酸胀不舒服,马上去附近医院就诊。医生给他复查了泌尿系统彩超,结果显示双侧肾囊肿都变大了,更要命的,左肾"囊肿"似乎并不是"单纯性",增强CT给出的答案是:高度怀疑囊性肾癌,Bosniak Ⅳ级。

肾囊肿>5 cm不必马上手术,但囊性肾癌无论大小,都应尽快切除

要命的囊性肾癌

什么是囊性肾癌?

囊性肾癌在肾细胞癌中约占4%~15%,多发生于男性病人,肿瘤细胞来源于肾小管的上皮细胞,以囊肿的形式呈膨胀性生长,慢慢形成一个或者多个大小不一的单房或多房囊性肾癌。它的临床症状和表现包括患侧腰部疼痛、肉眼或显微镜下血尿、腹部包块、食欲不振、消瘦、反复低热等。有时候通过B超检查,难以区分囊性肾癌与单纯性肾囊肿,常常需要高分辨率的增强CT扫描才能够进一步辨别。

肾囊肿>5 cm不必马上手术,但囊性肾癌无论大小,都应尽快切除

囊性肾癌周围分界不清晰!

对于肾囊性病变,根据CT扫描的结果临床上有一个Bosniak 分型,级别越高,恶性囊肿(囊性肾癌)的可能性越大:

I 级(基本上为良性)Ⅱ级(约18%为恶性)Ⅱ F级(约14%发生恶变)Ⅲ级(约50%为恶性)Ⅳ级(恶性概率>90%)囊性肾癌的治疗

与肾癌一样,在有手术条件的情况下,绝大多数泌尿外科医生不建议手术前对囊肿进行穿刺病理检查,首先穿刺检查可能引起感染、出血或肿瘤细胞播散的可能;其次就算穿刺活检阴性,但也不能排除恶变。

囊性肾癌首选外科手术治疗,根据肿瘤的大小、周围的侵犯情况以及病人的全身状况,可以选择保留肾单位的肾部分切除手术、根治性肾切除术等,一般预后比较好。由于此次囊性肾癌太大了,我的邻居许先生最终还是接受了腹腔镜左肾根治性切除术,把整个左肾都切除了。

肾囊肿>5 cm不必马上手术,但囊性肾癌无论大小,都应尽快切除

肾肿瘤分期比较晚,则通常整个患肾切除

总之,肾囊性病变是临床上一种常见病、多发病,其中绝大多数是单纯性肾囊肿,但须警惕囊性肾癌的可能,对于B超检查可疑的囊肿,我们应该及时进行增强CT检查,不可忽视,以免发生漏诊和误诊!

@南方健康 @清风计划

体检发现肾囊肿怎么办?医生告诉你最佳的应对方法

参考资料:

1. 囊性肾癌14例诊治体会并文献复习[J].《中华腔镜泌尿外科杂志(电子版)》,2017年11卷5期 330-333页.

2. 不同亚型的囊性肾癌诊疗与预后分析[J].《天津医科大学学报》,2017年23卷3期 256-258,273页.

我是Lancet柳叶刀!希望对您有用,如有不当,敬请评论区斧正。

转载请注明来自极限财经,本文标题:《肾囊肿多大需要治疗(肾囊肿5 cm不必马上手术)》

每一天,每一秒,你所做的决定都会改变你的人生!

发表评论

快捷回复:

评论列表 (暂无评论,5人围观)参与讨论

还没有评论,来说两句吧...