红斑狼疮是一种结缔组织性疾病,主要分为系统性红斑狼疮和盘状红斑狼疮系统性红斑狼疮 多发人群多发于青年女性 症状表现脸颊两侧出现红斑,日光照射后红斑更加明显21%的患者会出现明显的口腔溃疡口腔疼痛等症状伴随着周身关节性疼痛严重者会出现失眠多梦烦躁抑郁等精神症状盘状红。
红斑狼疮是一种自身免疫性疾病,其核心特征是免疫系统错误攻击自身组织,导致多器官系统受损以下从定义症状病因及治疗四方面展开科普一疾病定义与特点红斑狼疮以慢性炎症为特征,好发于1540岁育龄期女性,男女患病比例约为19早期轻型及不典型病例增多,但多数患者通过规范治疗可获得较好预后。
红斑狼疮是一种自身免疫性疾病,归属于风湿免疫科,主要分为皮肤型红斑狼疮和系统性红斑狼疮两大类1 皮肤型红斑狼疮 主要累及皮肤,表现为皮疹盘状狼疮或亚急性皮肤型红斑狼疮等症状2 系统性红斑狼疮 除了皮肤受累外,还可累及关节浆膜腔黏膜肾脏肺脏心脏以及血液系统等多个脏器。
红斑狼疮是一种由体内免疫紊乱直接导致的免疫系统疾病其引起的原因主要包括以下几点遗传因素如果患者的直系亲属,尤其是一级亲属有红斑狼疮病史,那么患者患红斑狼疮的机会就会增加环境因素药物应用某些药物的使用可能诱发红斑狼疮长期劳累和精神紧张这些因素可能导致免疫系统功能异常长期紫外线。
红斑狼疮是一种慢性自身免疫性疾病其核心特征是免疫系统发生功能异常,错误地将自身组织和器官识别为“外来威胁”并展开攻击,导致多系统受累和炎症损伤病因与诱因目前病因尚未完全明确,但研究认为与以下因素密切相关遗传因素家族中有自身免疫性疾病患者的人群风险显著升高环境因素紫外线暴露如。
红斑狼疮是一种自身免疫性疾病,尤其是系统性红斑狼疮,其特点如下发病群体多见于育龄期女性症状表现发热90%的患者可出现发热症状皮肤红斑鼻梁和双颧部呈蝶形分布的红斑,是系统性红斑狼疮的特征性改变其他症状包括口腔溃疡明显脱发双手雷诺现象等系统累及重症狼疮可累及心脏肺脏。
红斑狼疮,特别是系统性红斑狼疮,是一种有多系统损害的慢性自身免疫性疾病,属于风湿免疫病的一种以下是关于红斑狼疮的详细解答好发于特定人群系统性红斑狼疮好发于生育年龄女性,20~40岁多见,男女患病比例约为7~91在我国,患病率较高,约为3013~401410万人发病因素遗传感染。
红斑狼疮是一种自身免疫性疾病以下是关于红斑狼疮的详细解释发病因素内分泌因素雌激素可影响红斑狼疮的发病红斑狼疮多发于育龄妇女,男性睾丸发育不全者也常发生红斑狼疮所有患红斑狼疮者,均有雌激素增高的现象症状表现皮肤症状红斑狼疮患者经常会出现皮肤瘙痒的情况关节疼痛红斑狼疮患者。
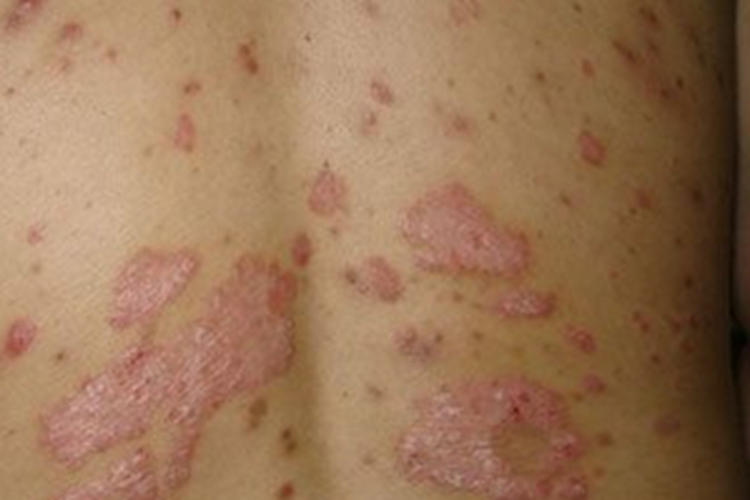
红斑狼疮是一种典型的自身免疫性结缔组织病,多见于15~40岁女性该病是一种疾病谱性疾病,具有多种亚型,具体如下盘状红斑狼疮主要侵犯皮肤,是红斑狼疮中最轻的类型皮肤损害初起时为鲜红色斑,逐渐扩大并呈盘状少数可有轻度内脏损害,少数病例可转变为系统性红斑狼疮亚急性皮肤型红斑狼疮临床上较少见,是一种特殊的中间类型。
红斑狼疮是一种累及全身多个系统多个器官的自身免疫性疾病以下是关于红斑狼疮的详细解释临床表现红斑狼疮的临床表现非常复杂,病程迁延反复很多患者会出现面部的皮疹或者蝶形红斑,这是系统性红斑狼疮病人的最为典型的症状如果病变发生在身体的其他部位,也会出现相应部位的损害,比如肾脏损害心脏损害肺部损害等等病因。
红斑狼疮是一组侵犯全身结缔组织的自身免疫性疾病主要特点 自身免疫性疾病红斑狼疮患者的免疫系统会错误地攻击自身的健康组织,导致炎症反应和组织损伤病变亚型 盘状红斑狼疮主要侵犯皮肤,表现为鲜红色的斑,逐渐扩大并边缘色素加深,整个皮损呈盘状这是红斑狼疮中最轻的类型 系统性红斑狼疮。
皮肤损害红斑狼疮患者常出现皮肤损害,如面部蝶形红斑盘状红斑等,且常伴随皮肤瘙痒关节疼痛关节疼痛是红斑狼疮的常见症状之一,严重的患者甚至可能危及到生命全身症状部分患者还会出现发高烧乏力体重下降等全身症状治疗与护理中医治疗中医多采用中药调节的办法治疗红斑狼疮,但见效缓慢。
红斑狼疮的发病缓慢,隐袭发生,临床表现多样变化多端盘状红斑狼疮损害以局部皮肤为主,系统性红斑狼疮常累及多个脏器系统红斑狼疮患者约70%~85%有皮肤表现,因此红斑狼疮历来是皮肤病学研究的重点病因 1 遗传因素遗传是红斑狼疮发病的重要因素,具有红斑狼疮遗传因素的人,一旦遇到某些环境中。
红斑狼疮是一种复杂的自身免疫性疾病主要包括以下两种类型局限性的盘状红斑狼疮这是红斑狼疮的一种较轻类型,主要影响皮肤系统性红斑狼疮这是红斑狼疮中发病率较高且病情较为严重的一种类型每万人中就有八分之一可能患病,病情严重时可引发多器官损害,包括皮肤和肾脏,还可能波及心肺肝。
发病机制红斑狼疮是一种自身免疫性疾病,意味着患者的免疫系统错误地攻击了自身的健康组织在正常情况下,免疫系统能够识别并清除外来病原体,但在红斑狼疮患者中,免疫系统会错误地将自身组织视为外来物并进行攻击主要受累部位结缔组织是红斑狼疮的主要受累部位,这包括皮肤关节肌肉血管肾脏。
红斑狼疮是一种自身免疫性疾病,具体特点如下多系统受累红斑狼疮常累及多个系统,包括皮肤肌肉骨骼心肺肝脾肾脑眼等,导致多种症状出现血清出现多种自身抗体患者血清中会出现多种自身抗体,表明存在明显的免疫紊乱好发于年青女性红斑狼疮在年青女性中较为多见,患病率约为。
红斑狼疮是一种自身免疫紊乱所导致的全身性炎症性疾病以下是关于红斑狼疮的详细解答1 病因 红斑狼疮是由于自身免疫系统的紊乱所引起的这种紊乱导致身体产生异常免疫反应,攻击自身组织,从而引发疾病2 症状 皮肤表现最常见的症状是脸上或其他部位出现红斑,这也是其得名的原因 其他表现。
红斑狼疮是一种自身免疫性疾病,不会传染以下是关于红斑狼疮的详细解答疾病定义红斑狼疮的全称是系统性红斑狼疮,它是一种累积多系统多器官并且有多种自身抗体出现的自身免疫性疾病发病人群红斑狼疮在儿童老人中均可发病,但最常见的发病人群是育龄期的女性病理改变红斑狼疮的基本病理改变。
转载请注明来自极限财经,本文标题:《什么是红斑狼疮?》

京公网安备11000000000001号
京ICP备11000001号
还没有评论,来说两句吧...