骨关节炎指间关节症状?(得了骨关节炎)

骨关节炎指间关节症状?(得了骨关节炎)

翟春妤 2025-10-13 全球视野 5 次浏览 0个评论

骨关节炎,也称为退行性关节病。是最常见的关节炎形式。它最常发生在老年人身上。

得了骨关节炎,千万不要自己养

最常见的症状就是疼痛,特别容易出现在膝关节和双手上。早期会出现间歇性隐痛。后期会出现持续性的疼痛。在受凉和劳累的情况下,疼痛会加重。僵硬也是骨关节炎的主要症状之一。在久坐或早上起床时,会出现迈步困难或手指弯曲的情况。这种僵硬状态,一般持续几分钟或十几分钟会得到缓解和消失,所以常常被人忽略。当双手出现骨关节炎时,指间关节会出现骨性膨大或畸形等症状。如果是膝关节炎,会出现肿胀,内外翻畸形等症状。还多见于髋部和脊柱关节炎。在极少数情况下,这种疾病可能会影响肩膀、手腕和脚部。

得了骨关节炎,千万不要自己养

病因:骨关节炎是由覆盖关节骨末端的软骨磨损引起的。这可能是由于超重,长时间的过度紧张,先前的骨折、生长异常、关节疾病、受伤或畸形。有些人有先天性的关节异常、髋关节病、会导致早期退化并随后导致骨关节炎。

怀疑得了骨关节炎需要做什么检查?

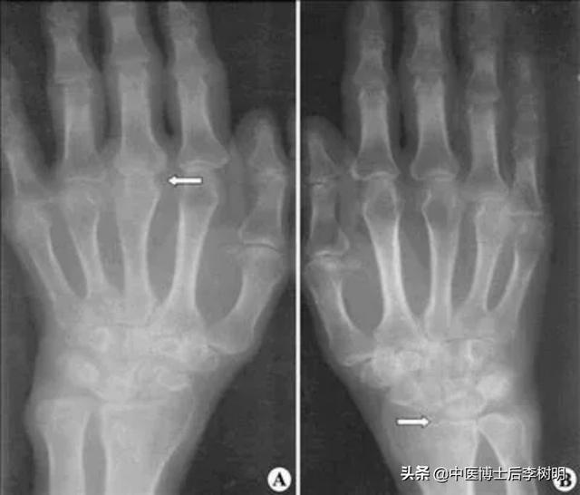
医生通过病史、体格检查和受影响关节的X光片来诊断骨关节炎。

得了骨关节炎,千万不要自己养

在片子中,医生可以观察到关节的缝隙变窄了,靠近关节的骨头出现硬化,以及出现小空腔一样的囊性变。在关节的边缘周围有骨刺的形成。部分的病人还可以看到关节肿胀,以及关节内的游离体等等。

核磁共振检查是第二位常用的检查方法。作用主要是观察骨质水肿,半月板损伤,韧带损伤,关节积液、腘窝囊肿等等。骨关节病的病人,验血指标多数都是正常的。如果正处在急性发作期,有滑膜炎的影响,往往会出现C反应蛋白和血沉略微增高。

得了骨关节炎,千万不要自己养

治疗:以减轻体重、锻炼肌肉、中药调理方向滋补肝肾、祛风除湿、消肿止痛、活血化瘀、通利关节。目的是减轻疼痛、改善关节运动,防止关节进一步受损。

中医外治:包括熏洗、熏蒸、敷贴法和中药离子导入法。中药外用具有温经散寒、理气散结、活血化瘀、祛风除湿、强筋健骨等功效,改善骨内微循环、降低骨内压。

小针刀:小针刀对关节腔外部紧张,挛缩的肌肉、韧带进行松懈剥离,可以起到活血化瘀。

特理治疗:

热疗、水疗、红外线、超短波、离子导入、中医针灸、按摩等疗法。

生活方式的改变:

得了骨关节炎,千万不要自己养

适度的锻炼计划,吃健康和均衡健康的食物、充足的休息、减肥,适宜的运动包括游泳、慢跑、骑自行车、抓握等锻炼。不适宜做跳跃、负重、蹲起、登高、远行、久站久坐等。

要进行适当的有氧运动,可以增强局部血液循环,增强细胞活力和加速代谢废物的排出。

膝关节锻炼方法:

得了骨关节炎,千万不要自己养

卧位直腿抬高运动,仰卧在床上,下肢伸直,在膝关节伸直的基础上再用力过伸,坚持10-20秒后放松,10-15次一组,锻炼程度以能承受为标准。

得了骨关节炎,千万不要自己养

转载请注明来自极限财经,本文标题:《骨关节炎指间关节症状?(得了骨关节炎)》

每一天,每一秒,你所做的决定都会改变你的人生!

发表评论

快捷回复:

评论列表 (暂无评论,5人围观)参与讨论

还没有评论,来说两句吧...