声明:本文内容均是根据权威医学资料结合个人观点撰写的原创内容,在今日头条全网首发72小时,文末已标注文献来源及截图,文章不含任何虚构情节和“艺术加工”,无任何虚构对话,本文不含任何低质创作,意在科普健康知识,请知悉。
【[礼物]福利礼包赠送中】即日起,每天将在收藏、点赞并评论留言的读者中抽出幸运中奖者,免费赠送健康大礼包(实物)一份,欢迎大家参与活动!
看似一颗普通的牙刷牙膏,却可能是警报的开端。
牙龈出血并不是个小事,如果伴随三种表现,很可能预示着白血病进入危险阶段,必须立即做一次血常规检查。
很多人听到“白血病”这个词就觉得离自己遥远,其实危险常常隐藏在习以为常的小症状中,尤其牙龈出血很容易被忽略。
医生和健康专家一般都建议:牙龈出血,不只是口腔问题,更可能是全身性疾病的信号。
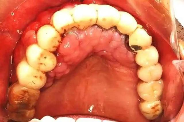
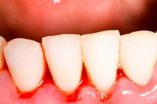
那三种表现是什么?首先是持续性牙龈出血,不像刷牙刷出一点血,而是偶尔刷牙、吃东西(比如苹果、饼干)就出血,有时甚至牙龈肿胀、颜色发暗。

第二种是不明原因的瘀斑或紫癜。
当体内白细胞异常增生,血小板减少,身体对外伤或微出血的修复能力下降,皮肤和黏膜下就容易出现大片淤血或成片紫红点。
第三种则是疲乏、莫名发热、夜汗等症状,很多人不觉得严重,以为是“累”或“着凉”,但背后往往并非普通感冒。
三种症状同时出现时,不要等“等等看”、“没事吧”,因为它们极有可能共同指向白血病。
在这个时候,验血比任何拍片、照牙好。
血常规检查能快速显示白细胞、红细胞、血小板计数是否异常,从而判断是否需要进一步如骨髓穿刺确诊。
国外一项涉及5000例血液疾病患者的大型回顾研究显示,仅仅从牙龈出血、紫癜和发热三大症状联合出现,就可以将白血病初步诊断率提高到80%以上,敏感度达到了90% 。
也就是说,这种警觉性远比单看牙龈出血更可靠,应提前干预。
然而,常见观念会误导人们。
大多数人以为牙龈出血是刷牙太用力、牙结石需洗牙,或者缺维生素C、糖尿病导致。
似乎只要吃点VC、清洁一下牙齿就能解决。
但事实是——大多数牙龈出血只是“随意忽略”的借口,背后可能隐藏严重病变。
国外学者在《血液与癌症》期刊刊文指出:“约30%首次就诊的白血病患者因牙龈出血被误诊为牙科疾病” 。
这说明,单纯刷牙大师们批评“刷牙太猛”的观点毁掉了不少早期干预的机会。
在深入了解这些反常症状时,一个独特观点值得重视:白血病的口腔表现并非只是血液系统问题,也可能与免疫系统“错位进攻”有关。
换句话说,牙龈不仅只是被动出血,而是身体免疫系统主动释放炎症信号试图抵抗异常细胞。
某国外研究对120例白血病患者牙龈组织做免疫标志物检测发现,93%样本中IL-6、TNF-α表达明显上升。
这些促炎分子不仅引发牙龈红肿、出血,也反映了免疫系统与异常白细胞“对弈”的实时较量 。
意味着牙龈状况极可能是“免疫预警”窗口。
再举更有说服力的数据。
2024年一项在美国进行的前瞻性研究招募了200名有牙龈出血史的健康志愿者,对其做全年追踪,结果发现:
约15%出现不明原因出血+瘀点后6个月内,血液学检测显示白血球异常增长或血小板极度减少,最终被确诊的比例高达6.5%;对照组(无牙龈出血者)仅为0.3% 。
这表明,牙龈出血和紫癜的组合表现确实具有高度预测价值。
这是不是意味着,只要牙龈出血就要怀疑白血病?不是的,但如果出现三种表现之一停止不了,就要高度警惕。
值得指出的是,常见牙龈炎、牙结石等也会出血,但它们不会连带瘀斑、慢性发热、夜汗、疲劳等全身症状,而白血病往往不是口腔单打独斗,它会让身体其他地方也“报警”。
医学界目前比较统一的看法是,小问题如果不止一个,要关注关联性,而不是各个独立判断。
需要强调的是:查血常规不用怕打针,也不需要花大价钱。
普通体检套餐里就有,费用几十块人民币。
有数据表明,在北京、上海等一线城市的社区医院,标准血常规费用通常在30–50元人民币之间,一次就能给出初步方向。
如果能依据上述三表现之一及时查血,有了发现机会,就能提前介入,显著提高治愈率。
再倒耳朵——一旦确诊为急性白血病但已及早治疗,5年生存率可达60–70%;晚期才发现,则大幅跌到20–30%。
此外,这里另有一条常被忽视的沟通误区:不少医生、护士在面对牙龈出血患者时,用一句“你是不是刷牙太猛”、“是不是最近忙摊了,没休息好”。
这种回复,其实容易让患者放松警惕,而非真正“消除焦虑”。
更合理的做法是医生直接建议做血常规,而不只是推荐洗牙。
国外牙科协会(ADA)在2023年指南里明确指出:当牙龈出血伴有全身症状(如无明显口腔原因,还伴发热、皮疹、瘀点等),应立即建议血常规检查 。
最后要指出一个反常观点:很多人觉得牙龈出血是“局部问题”,与生活方式、营养、刷牙习惯有关。
这个观点看似合理,但容易掩盖“系统性疾病信号”的严肃性。
同样,很多人谈到免疫系统,就会联想到疲劳、过敏、感染,却从未想过牙龈那一点红可能就是人体内部激烈抗争的结果。
这种常规观点和独特见解的差异正是这篇文章的核心:牙龈出血并不只是小事,它可能是免疫风暴中的“前哨”。
总结一下:只要牙龈持续出血伴1)皮肤或黏膜出现瘀斑 2)无明显原因的疲劳、发热、夜汗 3)甚至牙龈颜色异常(暗紫或苍白)出血难止,就必须及时查血常规。
有这三大信号其中之一,就不能再当普通牙龈问题,而是警钟拉响。
血常规便是一把关键门票,决定下一步是“日常洗护”还是“深入诊治”。
别被“刷牙太慌”这类随意说法打发过去,这可能不是口腔叛变,而是生命拉响红警。
早查血、早发现、早治疗,才能让身体动起来。白血病可怕,但最可怕的是“可怕的拖延”。
如果出现几个看似无关但有内在联系的症状,不要犹豫,预约检查,别等事后后悔。
这样,牙龈再出血,就不只是洗牙的话题,而是一次身体给出的警告——谜底藏在血液里,答案在常规血检。
为了健康,把血常规当成“牙龈出血伴随症状”的必修课,别让小出血变成大麻烦。
对此,您有什么看法?欢迎评论区一起讨论!
参考资料[1]伍立志,刘志成.牙龈出血的病因分析及临床处理分析[J].临床医学工程,2008,15(12):81-82.
转载请注明来自极限财经,本文标题:《白血病牙龈出血是什么样的!有何特点(牙龈出血伴3种表现)》
京公网安备11000000000001号
京ICP备11000001号
还没有评论,来说两句吧...