1、龋齿是一种由口腔细菌引起的细菌性疾病,其本质是细菌利用食物残渣产酸,侵蚀牙齿珐琅质并形成龋洞的慢性破坏过程成因与机制口腔中的变形链球菌等致龋菌会分解糖类食物残渣,产生以乳酸为主的有机酸这些酸通过降低牙釉质表面的pH值,使其脱矿溶解,形成肉眼可见的龋洞若未及时干预,细菌会进一步侵入;龋齿的正确读音为qǔ chǐ,俗称虫牙蛀牙,是细菌性疾病,治疗方法包括药物治疗和补牙等,预防龋齿需要做到早晚刷牙选用含氟牙膏健康饮食等一龋齿的读音和意思 读音龋齿的正确读音为qǔ chǐ意思龋齿俗称虫牙蛀牙,是细菌性疾病,可继发牙髓炎和根尖周炎,甚至引起牙槽骨和颌骨;龋齿俗称虫牙,是造成牙体缺损及多种牙痛症状的常见原因龋齿的形成多数是由于口腔卫生不良,导致细菌和食物残渣附着在牙体,对牙齿形成破坏而产生破坏程度不同,产生的临床症状也不同治疗方法主要包括以下几种轻型龋齿不是特别疼的情况下树脂充填这是最常用的方法之一,通过去除龋坏组织;龋齿的意思是牙齿腐烂,读音是qū chǐ以下是关于龋齿的详细解释定义龋齿是人类的口腔中由于微生物生长繁殖,形成牙菌斑,最终导致牙齿出现空洞和脱落的疾病字面意思“龋”字的读音是qū,意为腐烂“齿”字的读音是chǐ,意为牙齿因此,龋齿的字面意思是牙齿腐烂成因多由饮食习惯不良;疾病性质龋齿本质是细菌代谢产酸腐蚀牙齿,属于感染性疾病口腔中的变形链球菌等细菌会分解食物残渣中的糖分,产生酸性物质,逐渐溶解牙釉质和牙本质发展过程初期表现为牙釉质脱矿形成白垩色斑点,随着细菌侵入,牙本质逐渐软化形成龋洞若未及时治疗,龋坏会深入牙髓腔引发剧烈疼痛,最终导致牙冠完全。
2、龋齿指的就是蛀牙不仅成年人会出现龋齿,婴幼儿也会出现龋齿如果婴幼儿龋齿发现处理不及时,就会降低婴幼儿的咀嚼能力,甚至会发成乳牙慢性牙髓炎或根尖周炎那么,婴幼儿龋齿是什么原因造成的呢婴幼儿龋齿原因大部分是因为不讲究口腔卫生引起的,每次婴幼儿喝完奶或者吃完辅食之后,都会有实物残渣;龋齿是一种由细菌引起的牙体硬组织破坏性疾病其发病机制与口腔内细菌代谢产生的酸性物质密切相关,这些物质会逐渐溶解牙齿的矿物质成分,导致牙体结构受损疾病发展过程龋齿的初期表现为牙釉质表面出现白色脱矿斑块,此时牙体结构尚未形成明显缺损随着细菌持续侵蚀,牙釉质或牙本质逐渐形成龋洞,临床可。
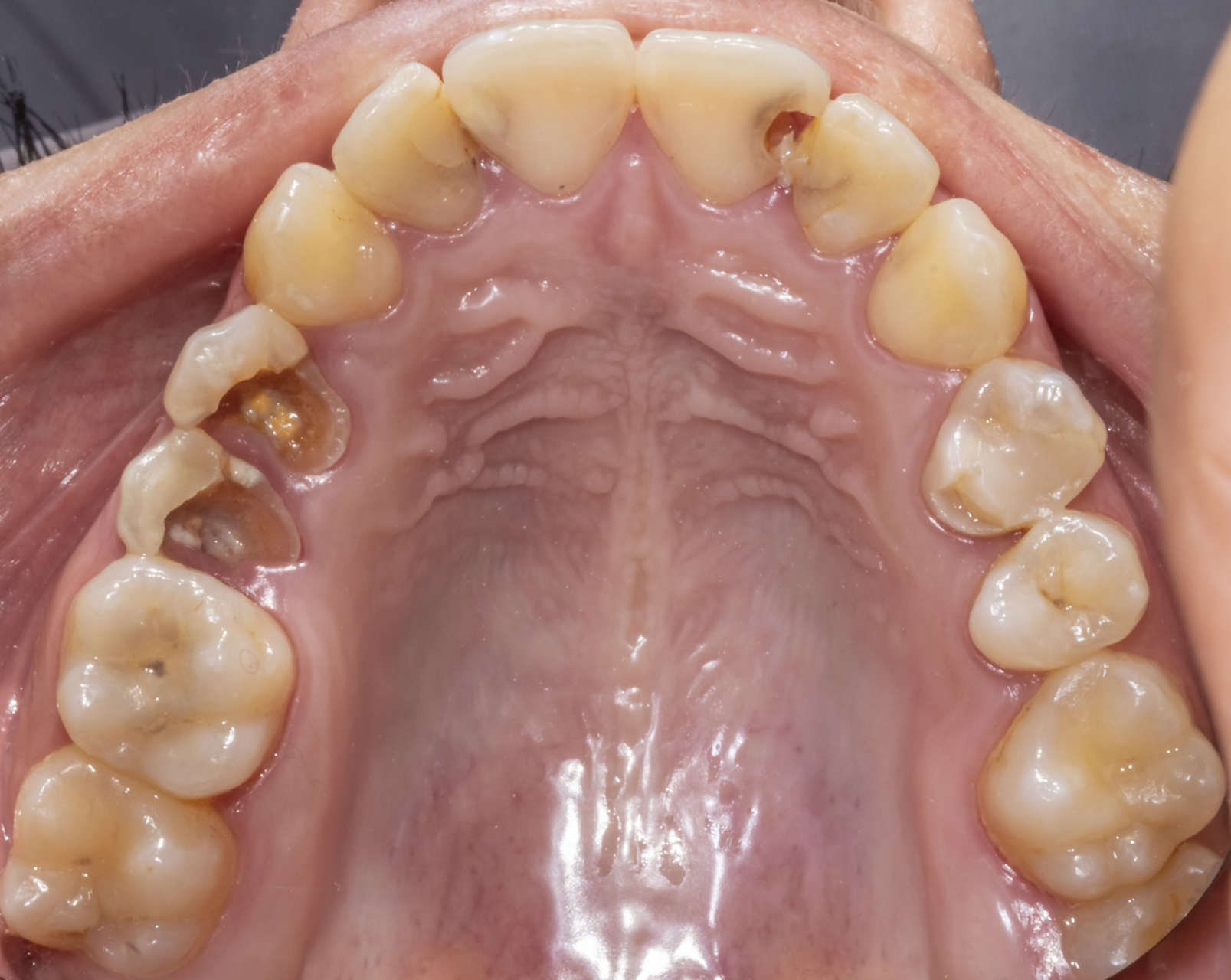
3、龋齿是指口腔内牙齿因细菌代谢产物作用导致硬组织发生慢性进行性破坏的疾病,也被称为蛀牙核心形成机制当口腔内残留的食物残渣尤其是糖类被细菌分解后,会产生酸性物质这些酸性物质会逐渐溶解牙齿表面的牙釉质和牙本质,导致矿物质流失,形成肉眼可见的龋洞若未及时干预,龋坏会向深层发展;龋齿和蛀牙是同一种疾病,医学上统称为龋病,两者并无本质区别,仅是名称差异以下从病因症状诊断预防和治疗五个方面展开说明病因龋齿蛀牙的核心病因是口腔细菌代谢糖分产生酸性物质,这些酸会侵蚀牙齿表面的珐琅质牙釉质,导致牙齿脱矿细菌通过附着在牙齿表面形成牙菌斑,长期未清除的;龋齿读作qǔ chǐ一释义 由于口腔不清洁而感染某种溶链菌,使食物中的糖分变成多糖和酸,溶蚀牙齿的珐琅质,而产生脱钙蛀蚀的一种病症患这种病的牙也叫蛀牙,俗称虫牙二出处 1蛀齿牙齿发生腐蚀性病变史记·扁鹊仓公列传“齐中大夫病龋齿”释名云龋,朽也虫啮;ldquo龋齿rdquo的读音是qǔ chǐ发音要点第一个字“龋”读作qǔ,声调为第三声,发音时注意舌面的隆起和气流的通过第二个字“齿”读作chǐ,声调为第三声,发音时舌尖抵住下齿背,软腭上升,气流从鼻腔通过词义解释龋齿特指牙齿发生的腐蚀性病变,即我们通常所说的蛀齿,是由于;注意口腔异味长期存在的龋齿可能导致口腔内细菌滋生,从而产生难闻的口臭虽然口臭不一定都是龋齿引起的,但持续存在的异味值得警惕定期口腔检查最准确的方法是定期进行口腔检查,由专业牙医使用专业工具和设备进行检查,以便及时发现并处理龋齿总结龋齿是牙齿硬组织逐渐被破坏的一种常见疾病,通过观察牙齿表面感受牙齿敏感度检查牙齿质地注意口腔异味以及定期口腔检查等方法。
4、龋齿是牙齿硬组织在口腔内多种因素复合作用下发生破损的疾病,也被称为蛀牙或虫牙其诊断需结合色形质三方面特征综合判断从颜色判断,正常牙齿呈现乳白色或珍珠白,而龋齿会导致牙齿颜色发生改变这种改变通常表现为局部脱矿或色素沉积,形成白垩色斑块或黄褐色黑褐色区域例如,早期龋齿可能仅表现;龋齿,实际上是指牙齿上出现的蛀牙,它是牙齿的一种疾病牙齿上出现黑斑点或者黑沟,这就是龋齿的表现形式之一如果发现牙齿上有黑斑或黑沟,那很有可能是龋齿的迹象,需要及时就医如果不及时处理,龋齿会逐渐侵蚀牙齿,导致牙齿损坏,甚至可能引发牙痛等更严重的问题龋齿的发生主要是由于口腔内的;龋齿俗称虫牙蛀牙,是一种细菌性疾病以下是关于龋齿的详细解释一定义与成因 龋齿是由口腔中的细菌,特别是某些产酸菌,作用于牙齿硬组织,导致牙齿无机质脱矿和有机质分解,进而形成龋洞的一种疾病这些细菌通过分解食物残渣中的糖分产生酸性物质,腐蚀牙齿,最终形成龋洞二危害与发展 继发。
5、龋齿是牙齿在细菌等多种因素影响下,牙体硬组织发生的慢性进行性破坏性疾病其发生机制与细菌活动密切相关口腔中的细菌会黏附在牙齿表面,形成牙菌斑牙菌斑内的细菌能分解食物残渣中的糖类,产生酸性物质牙齿的主要成分是矿物质,这些酸性物质会逐渐腐蚀牙齿表面的牙釉质,导致牙釉质脱矿,进而形成。

京公网安备11000000000001号
京ICP备11000001号
还没有评论,来说两句吧...