2 疼痛 食道癌晚期病人可能会出现疼痛,这通常是肿瘤本身或转移性纵隔淋巴结侵犯周围组织所致3 声音嘶哑 这可能是转移性纵隔淋巴结侵犯喉返神经,导致声带麻痹所致4 呃逆 呃逆也可能是食道癌晚期的一个症状,这通常与膈神经受压迫或运动功能障碍有关需要注意的是,这些症状并非所有食道癌晚期病人都会出现,且症状严重程度也因人而异因此,对于食道癌晚期病人,应密切。
食道癌晚期死前症状包括1 吞咽困难极度加重,甚至无法进食2 极度消瘦和乏力3 呼吸困难,甚至出现窒息4 声音嘶哑,因肿瘤压迫喉返神经导致以下是 食道癌晚期,由于癌细胞的扩散和浸润,病人的吞咽困难会极度加重食物和水都难以咽下,严重影响了营养摄入同时,由于肿瘤消耗和食欲不振。
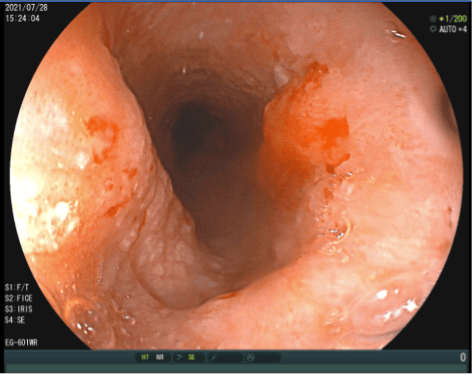
食道癌晚期死前症状较为复杂且严重,主要包括以下方面咽下困难是绝大多数患者就诊时的主要症状,但属于较晚期表现由于食管壁具有弹性和扩张能力,只有当约23的食管周径被癌肿浸润时,才会出现进行性加重的咽下困难这种症状会严重影响患者的进食功能,导致营养摄入不足食物反流常在咽下困难加。
食道癌晚期症状表现如下1吞咽困难这是食道癌最常见的症状,随着病情进展,吞咽困难逐渐加重,从固体食物难以下咽发展到连流质食物甚至水都无法摄入,最终导致完全无法进食2疼痛胸骨后或背部疼痛是晚期典型表现,疼痛性质多样,可为隐痛钝痛刺痛或剧烈疼痛,常因肿瘤侵犯周围组织或神经引发,持续存在。
食道癌临终前的8个征兆如下1进行性咽下困难患者吞咽困难逐渐加重,早期仅难咽干硬食物,中期半流质食物如稀饭难以下咽,晚期连水和唾液也无法吞咽,这是肿瘤阻塞食管管腔的典型表现2持续性胸背疼痛胸痛或背部疼痛呈钝痛隐痛烧灼痛或刺痛,可能伴随沉重感疼痛多因癌瘤外侵导致食管周围炎。
食道癌晚期断气前症状食管癌断气前有逐渐加重的进食困难,以至于全身营养不良,脏器功能衰竭,逐渐出现呼吸短促意识模糊呼之不应等症状食管癌的晚期症状主要是严重的吞咽困难,进食固体食物时更明显,即使勉强。
转载请注明来自极限财经,本文标题:《食道癌晚期症状有哪些》

京公网安备11000000000001号
京ICP备11000001号
还没有评论,来说两句吧...