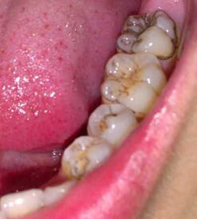
牙齿坏了一半里面都空了这种情况是可以拔掉的,其实可以先去医院检查下,如果牙齿还有营养价值是可以进行修复的,没有或者烂了很大的话,直接拔掉对自己周围的牙齿更健康牙齿坏了一半里面都空了可以拔掉吗 如果牙齿已经发生蛀牙,很严重,烂掉,已经空了,可以考虑拔除但是一般情况下建议还是首先要去医院。
1尽快拍片检查当你发现蛀牙掉了一半,你要最先做的就是去医院拍张片子,看一下牙根的情况,长短,松动度,和保留价值有保留价值的话就尽量保留但是如果蛀牙感染到牙根而且程度非常严重,无法继续治疗时,就需要拔牙2未露神经补牙如果蛀牙掉了以后,留下的洞不是太大,还没有露神经,那就。
蛀牙烂掉一半,通常可通过补牙根管治疗或拔牙等方式处理,具体如下补牙若牙齿龋坏程度较轻,未伤及牙髓,可直接进行补牙治疗医生会先彻底清除龋坏部分的牙体组织,避免残留细菌导致继发龋随后,使用树脂玻璃离子等材料填充缺损部位,恢复牙齿形态和功能补牙能有效阻断龋病进展,且操作相对简单。
早期治疗的重要性蛀牙如果坏到一定的程度,治疗效果可能会比较差,且花费的时间和金钱也会更多因此,建议在蛀牙早期,牙洞比较小的时候就进行治疗,这样可以有更好的治疗效果,也能节省治疗成本总结面对蛀牙掉了一半的情况,最重要的是及时就医,根据牙齿的具体情况选择合适的治疗方案同时,也提醒。
转载请注明来自极限财经,本文标题:《牙齿掉了一半里面很黑》

京公网安备11000000000001号
京ICP备11000001号
还没有评论,来说两句吧...