肺结核是否能够通过拍胸片看出来,主要取决于肺结核的类型感染的严重程度对于典型的肺结核,比如原发病灶结核性胸膜炎血行播散型肺结核,相对严重的感染,要拍双肺的X光片CT,能够看到结核的病灶特征性的形态学标志肺结核是否能够通过拍胸片看得出来,主要取决于肺结核的类型感染的严重程。
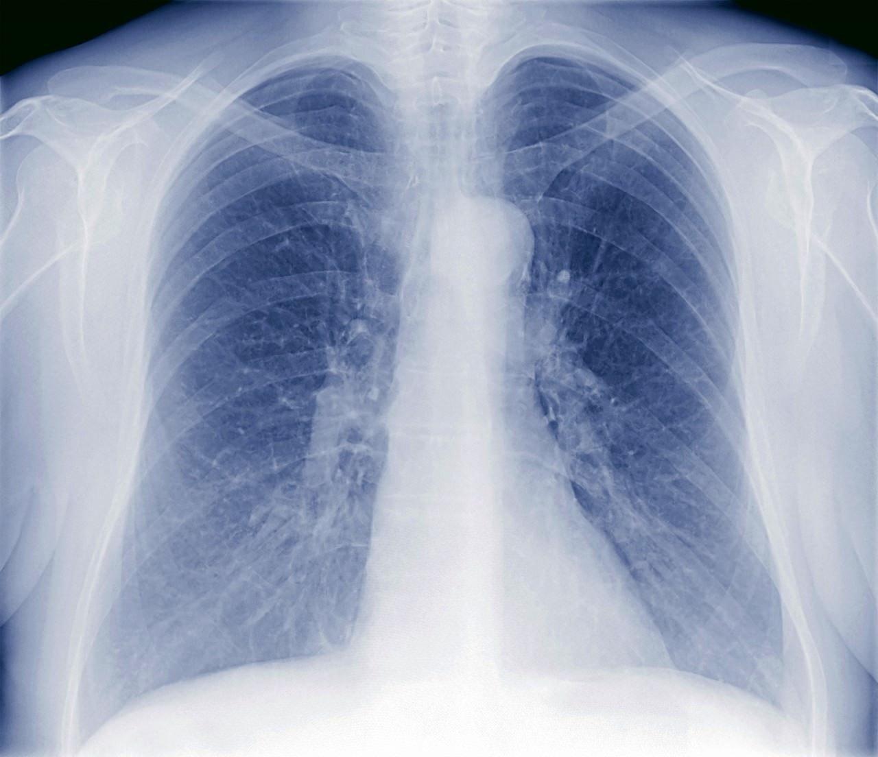
胸片能看出肺结核,但需结合其他检查综合判断胸片是检查肺结核的常见且重要手段,其原理是利用X射线的穿透性对胸部进行成像,通过观察肺部结构变化判断是否存在病变胸片能够显示肺结核的典型病灶,如阴影结节或空洞等异常征象例如,原发性肺结核可能表现为肺门淋巴结肿大,继发性肺结核则常见上叶尖后段或下叶背段的斑片状阴影,慢性纤维空洞。
拍片可以帮助诊断肺结核,但并非绝对准确拍片是诊断肺结核的重要手段拍片,尤其是胸部X线片和胸部CT,在肺结核诊断中发挥着关键作用在胸片上,肺结核常呈现出典型的影像学表现,如肺部的斑片状阴影结节影以及空洞形成等这些特征性的影像为医生提供了初步判断肺结核的重要依据胸部CT在诊断中更具。
拍胸片可以发现肺结核的局部病灶,但不能单独作为确诊依据具体分析如下胸片的作用胸片X线胸片是肺结核筛查的常用影像学检查手段,能够显示肺部是否存在异常阴影空洞纤维化或钙化等特征性病变典型的肺结核病灶在胸片上可能表现为上叶尖后段或下叶背段的浸润性阴影空洞形成或播散性病灶。
初步判断X线胸片可以对大部分的肺结核做出初步判断如果出现咳嗽咳痰咯血盗汗消瘦乏力等呼吸系统症状,X线胸片可以帮助医生初步判断是否存在肺结核的可能发现病灶X线胸片能够早期发现肺结核病灶,这对于肺结核的诊断具有重要意义辅助诊断虽然X线胸片可以做出初步判断,但诊断肺结核的金标准是。
转载请注明来自极限财经,本文标题:《肺结核拍胸片能看出来吗》

京公网安备11000000000001号
京ICP备11000001号
还没有评论,来说两句吧...