回答病情分析 根据你的描述,分析你的右内踝,腓骨下段发生了骨折,已经采用内固定的方法治疗了 指导意见 但是在复查X光片子的时候,发现腓骨上段以前骨折过,已经愈合了腓骨是人体承受重量较少的骨骼,骨折后有可能因为症状轻微而不被发现;右腓骨下端骨折的处理方法主要取决于骨折的移位情况移位明显的骨折解剖复位需要进行解剖复位,以恢复踝关节的平整和匹配内固定进行较稳且牢靠的内固定,确保骨折部位稳定术后锻炼术后鼓励患者早期进行踝关节功能锻炼,预防关节粘连和僵硬未发生明显移位的骨折保守治疗若踝关节结构完整且踝穴较稳定,可采用保守治;年轻的话骨折最好是手术治疗,恢复快并且对本身功能要求高。
展示了骨折后康复的一般过程注图片为示意图,具体康复过程需根据个人情况和医生建议进行总之,腓骨及踝关节骨折虽然可能发生在看似平常的日常活动中,但及时就诊听从医生建议进行康复锻炼是恢复健康的关键同时,保持积极心态和家人的支持也是康复过程中不可或缺的因素;为大家介绍一下腓骨比胫骨细腓骨上端称作腓骨小头,可以从皮肤外表面触及到上端仅与胫骨相连接,不参与膝关节的组成腓骨体细长,附着骨间膜腓骨下端形成的突起为外踝腓骨下端胫骨下端及距骨构成踝关节腓骨下端骨折的固定方式 主要看伤情的治疗主要看骨折的部位是否涉及到关节部位如果骨;腓骨下段骨折必须要根据其骨折的地方,是否影响到踝关节的稳定性,而判断其严重的程度如果是腓骨的下端靠近胫骨,对踝关节的稳定性没有影响,即使有部分的移位对合不是很好,可以通过打石膏或者夹板外固定,等骨折长好之后就没有问题,情况不严重另外腓骨下端小的撕脱性骨折也不是很严重的,打石膏固。
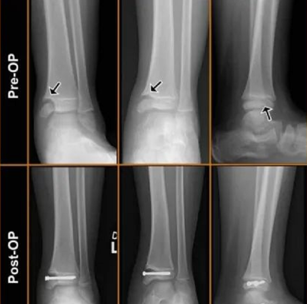
如果腓骨下端骨折移位明显,导致踝关节不稳定或踝关节移位严重,这种情况较为严重,不能通过保守治疗解决,需要手术治疗使骨折复位,并进行石膏外固定综上所述,腓骨下端骨折的严重程度取决于其是否影响踝关节的稳定性在不影响稳定性的情况下,骨折相对不严重而在影响稳定性的情况下,骨折则较为严重,需要手术治疗;腓骨下端是人体踝关节构成部分,患者在发生腓骨下端骨折后,若移位明显则会影响踝穴稳定性,需进行复位和有效固定,否则可能导致踝关节创伤性关节炎的发生并遗留明显后遗症因此对于移位明显的腓骨下端骨折,患者需进行解剖复位以恢复踝关节的平整和匹配,同时进行较稳且牢靠的内固定术后鼓励患者早期进行踝;对肢体的功能影响也较小三腓骨下13骨折 治疗方案需要良好的复位,可采用手术或手法复位,并进行夹板固定石膏固定,以及钢板螺丝钉内固定 原因腓骨下13尤其是外踝部位参与构成了踝穴,骨折后踝穴会发生改变,导致踝关节失稳疼痛,甚至引发创伤性关节炎,因此必须确保良好的复位;腓骨骨折手术钢板内固定后需要继续功能锻炼首先把患肢抬高,用软枕头把患肢垫高,这样有利于患肢的血液回流,利于肿胀的消退,嘱咐患者家属帮助多做腿部肌肉组织的按摩,防止肌肉萎缩发生患肢关节的屈曲和伸直的主动运动,以防止关节的僵硬黏连一个月后进行复查,若无明显的异常,有骨痂的形成可在;临床上骨折局部无水肿无压痛无异常活动X线膜内骨化部分两端会合,软骨骨化也连成一体,骨痂呈梭形,但骨折线可见,此期已达临床愈合伤后1012周,临床上此期骨折愈合很牢固,患肢可以开始使用3骨痂改造塑形期在应力作用下,骨痂改建塑形,骨髓腔再通,恢复骨的原形再说一下,谁说的“。
左腓骨后踝内踝骨断裂的工伤伤残等级,需根据具体情况来判定,可能定为六级至十级伤残左腓骨骨折未做内固定术,愈合后无或轻度功能障碍十级伤残内固定术后,愈合后无或轻度功能障碍九级伤残如功能障碍严重,则视具体情形来定伤残等级后踝内踝骨折未做内固定术,愈合后无或轻度;腓骨下段骨折的严重程度可以根据骨折线的位置来判断,如果是在下胫腓或者外踝的位置,骨折可能影响到踝关节,这个骨折就属于严重的类型,因为影响到了下胫腓关节的稳定性如果骨折线在踝关节以上,没有对下胫腓或者踝关节造成影响就属于不严重的骨折,通过石膏固定或者卧床休息少走路就可以达到治疗的目的;1 保守治疗的情况 如果腓骨下端骨折移位并不明显,不会伴有胫腓下关节分离,也不影响踝关节稳定,可以采用保守治疗 保守治疗通常包括使用石膏固定34周,然后去除石膏,在患肢不负重的状态下进行康复训练,直到八周左右骨折能够完全愈合2 需要手术治疗的情况 如果腓骨下端骨折影响踝关节稳定,并且;你好,你的片子已经阅读胫骨完好,腓骨下段骨折,对位对线良好,经打石膏保守治疗后复查平片,局部骨痂可见生长,骨折线有所模糊所以目前的治疗是有效的一般说来,石膏应该固定810周,当然时间不是金标准,金标准是复查平片,骨折线消失,骨痂生长良好才是去除石膏的标准所以就个人意见来说,你;依据劳动能力鉴定标准,自己对照下 1左腓骨骨折,未做内固定术,愈合后无或轻度功能障碍十级内固定术后,愈合后无或轻度功能障碍九级如功能障碍严重,视情形来定2后踝内踝骨折未做内固定术,愈合后无或轻度功能障碍十级内固定术后,愈合后无或轻度功能障碍九级。
转载请注明来自极限财经,本文标题:《腓骨下段,内后踝骨折》

京公网安备11000000000001号
京ICP备11000001号
还没有评论,来说两句吧...