1、软骨瘤的恶性转化风险软骨瘤多为良性肿瘤,起源于软骨细胞,通常生长缓慢且无明显症状其恶变率相对较低,但长期存在或受到外界刺激如反复外伤辐射暴露时,可能发生恶性转化,形成软骨肉瘤软骨肉瘤是起源于软骨细胞的恶性肿瘤,具有侵袭性和转移潜能软骨肉瘤的特征与治疗软骨肉瘤常见于长骨骨骺端;大多数骨软骨瘤不会恶变,但少数情况下可能恶变为软骨肉瘤一骨软骨瘤的良性本质骨软骨瘤是常见的良性骨肿瘤,由软骨帽和骨性基底组成软骨帽为透明软骨,骨性基底与正常骨组织相连其生长缓慢,通常无症状,尤其在青少年时期发病,好发于长骨干骺端如股骨远端胫骨近端绝大多数病例不会恶变。
2、骨头上长的肿瘤不一定是恶性肿瘤,有良性和恶性之分良性骨肿瘤相对常见,如骨样骨瘤骨软骨瘤等生长缓慢,多呈膨胀性生长,边界清楚,与周围正常骨组织分界明显,一般不会侵犯周围重要组织,通常不会发生远处转移例如骨软骨瘤,好发于青少年长骨干骺端,肿瘤由骨性基底软骨帽和纤维包膜组成,呈向外突出的骨性突起;单发性软骨瘤属于良性肿瘤,以透明软骨更为常见,危害性较小软骨瘤不断长大会压迫其他周围邻近神经血管肌肉肌腱,诱发腱鞘炎各种神经痛当足部和脚踝部肿瘤扩大时会影响正常的走路,穿鞋较为困难此外,软骨瘤部位骨质已经受到破坏,很容易发生骨折2多发性与软骨瘤 多发性软骨瘤发病率较少;正常结构可能性胫骨结节位于小腿前侧,是髌韧带的附着点青少年生长发育期,因髌韧带反复牵拉,可能导致胫骨结节局部隆起,质地较硬但无疼痛此为生理性表现,通常无需特殊处理,随年龄增长可能逐渐缓解骨软骨瘤一种常见的良性骨肿瘤,多发生于长骨干骺端如胫骨近端早期肿瘤较小时可能无;骨软骨瘤是一种良性骨肿瘤,相对于四肢部位的骨软骨瘤来说,恶变几率相对较高但相比其他良性骨肿瘤,恶性几率并不高对于儿童的骨软骨瘤,其生长往往伴随身体发育共同生长也就是说这个肿瘤还会继续长大儿童长得越快,它也长得越快儿童停止生长,它也会停止生长至于是否手术的问题,主要从以下。
3、二恶变风险威胁生命多发性软骨瘤存在一定恶变概率,可能发展为软骨肉瘤等恶性肿瘤恶变后的肿瘤细胞具有侵袭性和转移性,会破坏周围组织结构,侵犯重要器官同时,恶性肿瘤会加速机体能量消耗,导致患者消瘦乏力等全身症状,严重缩短生存期,危及生命三心理与生活质量的双重影响患者尤其是儿童,可能因;2腱鞘囊肿好发于关节附近,由关节囊或腱鞘内滑液疝出形成囊肿质地较硬有弹性,可滑动且无明显疼痛若囊肿较小且无症状,可暂不处理若囊肿增大或影响关节活动,需通过手术切除二疾病因素1骨软骨瘤常见良性骨肿瘤,多发生于长骨干骺端如胫骨近端肿瘤由骨性基底和软骨帽组成;治疗方式,对于没有症状的骨软骨瘤患者,一般无需进行特殊治疗但如果骨软骨瘤引起了疼痛影响到了关节的正常功能,或者存在恶变倾向,那么就需要考虑手术切除手术治疗的主要目的是完整切除肿瘤组织,同时尽可能保留正常的骨结构和功能预后情况,骨软骨瘤大多是良性的,整体预后良好在经过手术治疗后;骨肿瘤能否治好需综合多方面因素判断,不能一概而论从肿瘤性质来看良性骨肿瘤多数可治好像骨软骨瘤这类常见良性骨肿瘤,通过规范手术切除,完整切除后复发几率低,大部分患者能恢复正常骨骼功能,不影响日常生活与寿命即便位置特殊,如脊柱部位的良性骨肿瘤,在现代精准医疗技术下,合理手术方案也能。
4、骨瘤患者的存活时间不能一概而论,需根据骨瘤类型治疗情况及个体差异综合判断良性骨瘤通常生长缓慢,对机体影响较小若经规范治疗如手术切除,一般不影响正常寿命例如,骨软骨瘤通过完整切除后,多数患者可长期存活,复发风险低,生存期与普通人群无显著差异交界性骨瘤的性质介于良性与恶性之间;1 核心概念 软骨帽指覆盖在骨软骨瘤表面的软骨层正常情况下,成年人软骨帽厚度通常小于1厘米若影像检查显示软骨帽明显增厚例如超过2厘米,则会被描述为“软骨帽大”,可能提示肿瘤生长活跃或存在恶变风险 2 与疾病关联 骨软骨瘤是青少年常见的良性骨肿瘤,多位于长骨如大腿骨;后者有遗传倾向并影响骨骺发育或产生肢体畸形,称为多发性遗传性骨软骨瘤病,或骨干续连症对于单发的骨软骨瘤,一般不需治疗,若肿瘤过大,生长较快,或影响功能或外观,可考虑作切除术,切除范围应较广,要包括肿瘤基底四周部分正常骨组织,以免遗漏,引起复发参考资料网络。
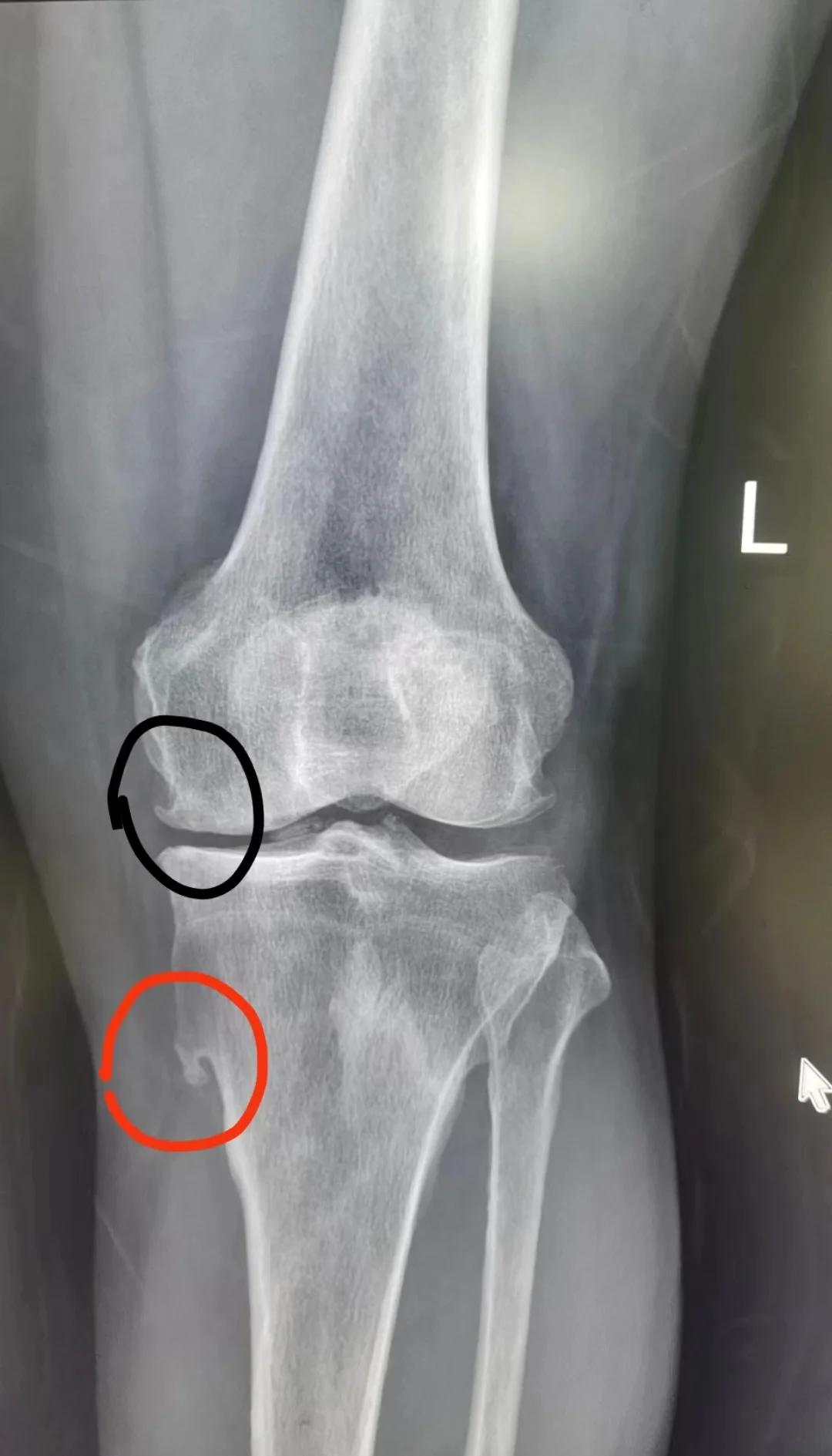
5、软骨瘤是起源于透明软骨的良性骨肿瘤,具体信息如下一分类及特点软骨瘤分为三类单发性内生性软骨瘤多见于青少年,好发于手足短管状骨,通常无明显症状,多因偶然发现无痛性肿块或轻微外伤后病理性骨折就诊多发性内生性软骨瘤包括Ollier病多发性软骨瘤伴骨骼发育畸形和Maffucci综合征多发性软骨瘤伴软组织血管瘤;软骨瘤的最佳手术时间需综合肿瘤大小部位生长速度及患者年龄等因素确定儿童患者手术时机需谨慎选择,因儿童骨骼处于发育阶段,过早手术可能影响骨骼正常生长一般建议在肿瘤停止生长后进行手术具体而言,肱骨近端和股骨远端的软骨瘤,建议在1214岁左右手术胫骨近端的软骨瘤,建议在1618岁左右;膝盖上长出硬硬的东西,可能由以下原因引起,需根据具体情况诊断和治疗1 骨软骨瘤骨软骨瘤是青少年及儿童常见的良性骨肿瘤,由软骨帽和骨性基底构成,多单发也可多发若位于膝关节附近,可触及硬质肿块多数无症状,但肿瘤较大时可能影响膝关节活动诊断需通过X光或CT检查,无症状的小肿瘤无需治疗。
转载请注明来自极限财经,本文标题:《长软骨瘤正常严重吗.》

京公网安备11000000000001号
京ICP备11000001号
还没有评论,来说两句吧...