林下能够种植的中药材
8 茯苓菌类药材,常依附松树根部生长,四川丘陵及山地松林资源丰富,可为林下种植提供良好基质。 适合林下种植的中药材品种主要包括枸杞何首乌白芍丹参铁皮石斛和熟地黄枸杞适合在林下种植,对光照要求不高,能在阴暗环境下生长,...
宝宝嘴里长了白色的东西
宝宝口腔内反复出现白色物质,可能是以下原因导致,需针对性处理一鹅口疮真菌感染由白色念珠菌感染引起,常见于口腔不清洁或营养不良的婴儿典型症状为口腔黏膜出现白色乳凝块样物,可融合成片,不易擦去,强行擦拭后黏膜潮红或出血,...
手指脱皮是什么原因引起的?
手指指甲边缘脱皮可能由以下原因引起,并对应不同应对措施一皮肤干燥皮肤水分和油脂分泌不足时,指甲边缘皮肤易干燥脱皮频繁洗手且未及时保湿如冬季气候干燥时会加速水分流失儿童因皮肤屏障功能较弱女性因接触清洁剂较多,更易出现此...
长期严重失眠如何治疗
长期严重失眠可通过以下方式综合处理一保持良好睡眠习惯建立规律的作息时间,每天固定时间上床睡觉和起床,有助于调整生物钟睡眠环境需安静黑暗凉爽且舒适,可通过遮光窗帘降噪设备或调整室温实现睡前1小时应避免使用电子设备,因其...
肺癌不手术初期能活多久..
1、肺癌不治疗能活多久,首先要看病情分期,早期病人一般存活时间即使不治疗也会比较长,但是晚期尤其是出现脑转移肝转移,而且范围比较广,很少有超过三个月的出现胸腔积液心包积液量比较多,如果不做特殊处理,病人的生存时间也很...
月经期体重会增加吗?
一所以,如果经期大吃大喝,该产生的脂肪还是会有 虽说“生理期吃不胖”是谣言,但有些姐妹有了这个错误意识之后,就有了放肆吃喝的借口其实这只是心理上的作用,并不是身体真的需要补充那么多食物,不要被自己“骗”了哦!生理期是...
怎么抢救脊柱骨折伤员
抢救脊柱骨折伤员需按以下步骤进行一现场评估与初步处理1环境安全评估迅速判断现场是否存在持续危险因素,如交通事故建筑坍塌等,立即将伤员转移至安全平坦区域儿童因自我保护能力弱,需优先脱离危险环境,转移过程中注意固定与安抚...
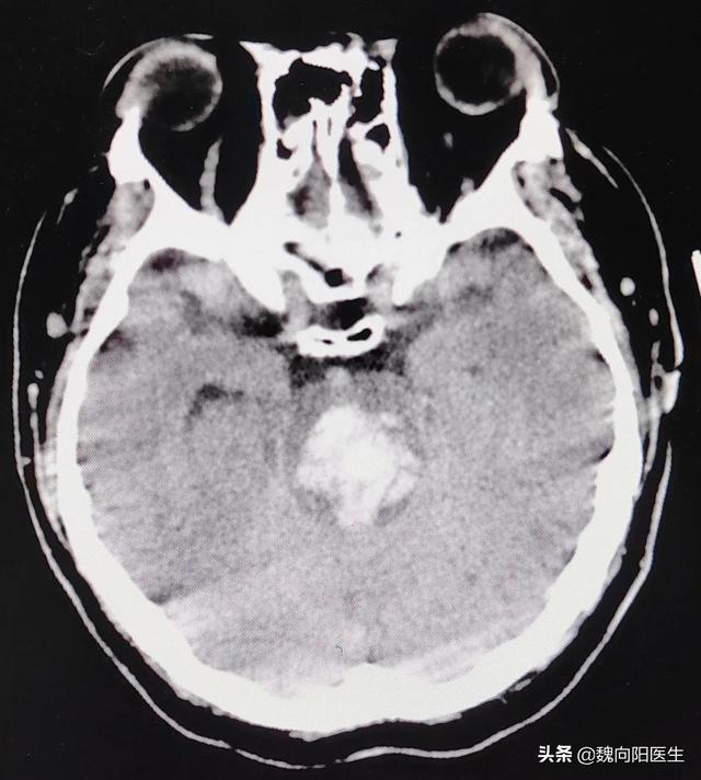
脑干出血能恢复到什么程度?(脑干出血后)
40多岁的他,因为长期没有有效控制血压,且对高血压的认识不足,并没有正规的服用降压药,最终在去年的某一天,因为脑干出血而住进了医院的重症监护室。自从发病的那一天就一直处于昏迷状态,发病前作为一名普通的工人,默默无闻地...









京公网安备11000000000001号
京ICP备11000001号