乳腺钼靶和彩超的区别
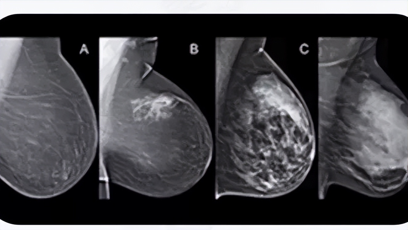
1 成像原理与观察重点不同乳腺彩超基于超声波反射成像,通过高频声波穿透乳腺组织,实时显示结构动态其核心观察指标包括结节或肿瘤的大小边界是否完整包膜情况内部血流信号强弱及分布例如,恶性结节常表现为边界模糊血流丰富且杂乱...
精子在女性体内存活时间
1、不是中间的那几天就一定是排卵期的,有可能,在前,也有可能在后#xF468#x200D#x2695#xFE0F精子存活时间约5天精子阴道内的存活时间在5天左右所以可能退后了#xF468#x200D#x2695#xF...
女性外阴部长什么样子有图吗,多来几张
卵巢是女性的性腺,主要功能是产生卵子和分泌性激素卵巢呈扁卵圆形,位于盆腔侧壁的卵巢窝内外生殖器外阴阴阜为耻骨联合前面隆起的外阴部皮肤及皮下组织,青春期皮肤开始生长阴毛,阴毛的疏密和色泽存在种族和个体差异大阴唇为两股内...
双唑泰阴道泡腾片的功效?
1、双唑泰阴道泡腾片的功效与作用如下抗菌作用双唑泰阴道泡腾片含甲硝唑克霉唑等成分,具有广谱抗菌活性甲硝唑可抑制厌氧菌及滴虫生长,克霉唑则通过破坏真菌细胞膜结构发挥抗真菌作用二者协同可有效针对细菌性阴道病外阴阴道假丝酵...
缝针后怎么不留疤(宝贝磕破了眼角别怕)
全家的心肝宝贝玩耍时磕破了眼角,鲜血直流,号啕大哭,怎么办?青春靓丽的白领女性加班时不小心撞到了一尘不染的玻璃门,磕破了额头,血肉模糊,疼痛难忍,怎么办?全民滑雪,潇洒自在的帅哥被惊恐的初学者撞倒,划破了脸,天寒地冻...
早泄是肾虚吗(早泄肾虚并非都因肾虚而起)
一说到阳痿早泄,人们总喜欢将其脑补为肾虚,可究竟早泄和肾虚是不是一回事呢?早泄,古人多责之于肾虚,如隋代巢元方在《诸病源候论》中论述:“肾气虚弱,故精溢也”。而现在中医认为早泄多为肝郁肾虚、阴虚湿热、心肾不交等复合病...





京公网安备11000000000001号
京ICP备11000001号