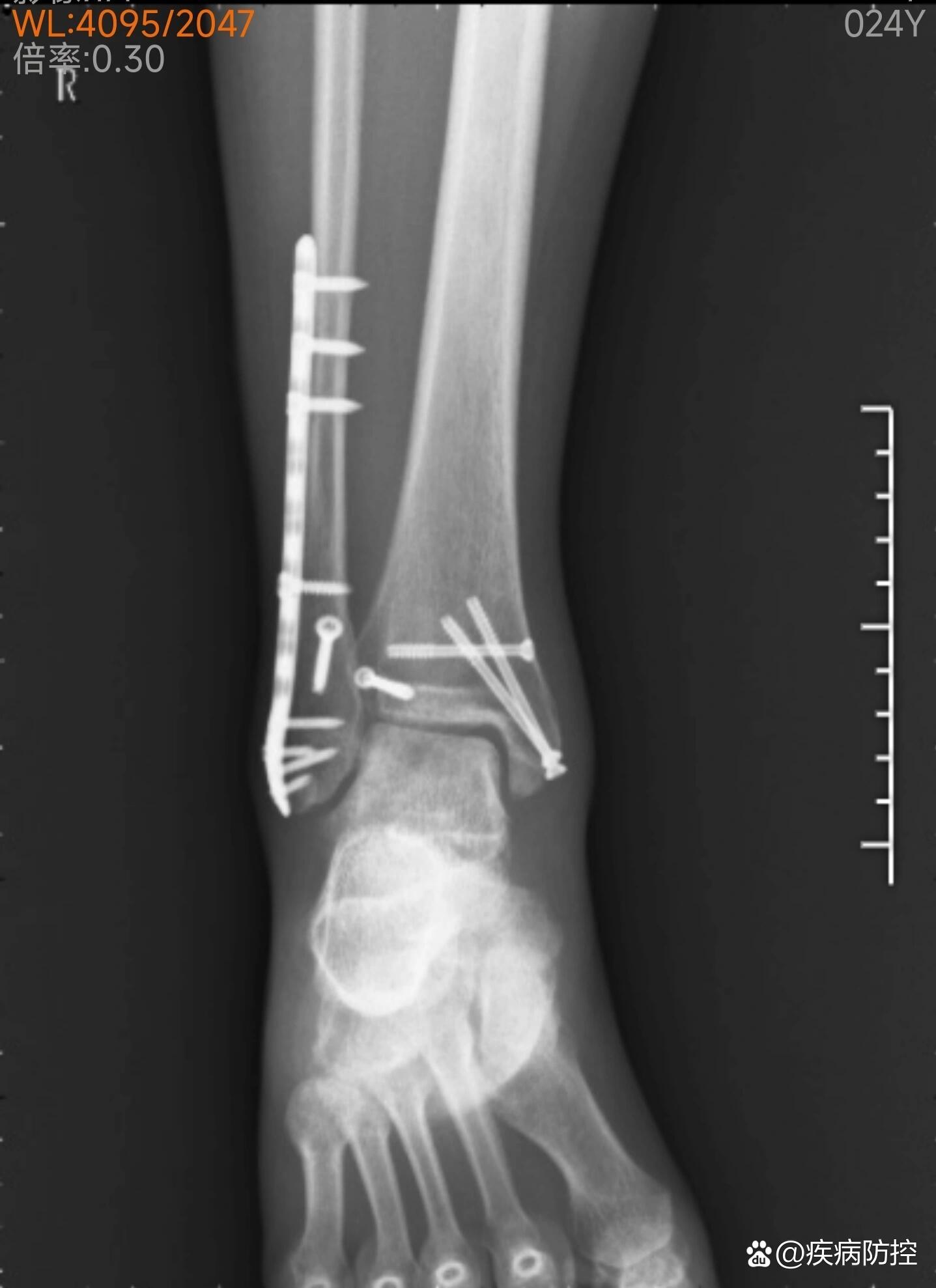
踝关节骨折多久才走路
恢复期关键注意事项1营养支持保证每日蛋白质摄入如瘦肉鱼蛋类,补充维生素D和钙牛奶豆制品,促进骨愈合2康复训练术后24周可进行踝关节被动活动如足趾屈伸,6周后逐步过渡到主动活动,避免关节僵硬3负重原则从部分负重如双拐辅...
急性肠炎的症状有哪些
急性肠炎的症状主要分为肠道症状和全身症状两大类,具体表现如下一肠道症状1腹痛疼痛多位于下腹部及肚脐周围,呈阵发性绞痛或隐痛这种疼痛通常与肠道蠕动增强或痉挛有关,可能因进食体位改变而加重或缓解2腹泻腹泻是急性肠炎最典型...
腰两边酸痛是怎么回事
女性腰两侧酸痛可能由多种原因引起,具体如下肌肉骨骼系统相关原因腰肌劳损是常见因素,长期久坐久站或弯腰等不良姿势,会使腰部肌肉持续紧张,引发酸痛例如办公室职员长时间伏案工作,或女性孕期身体重心改变产后恢复不佳,均可能增...
骨瘤早期没有任何症状吗?
1、骨瘤早期通常无明显症状,少数可能出现以下表现1肿块骨瘤可能在骨骼表面形成无痛性肿块,常见于面部头皮或颅骨区域若肿块位于口腔内,可能干扰咀嚼或说话功能肿块通常生长缓慢,但需注意其大小变化2疼痛部分患者因肿瘤快速生长...










京公网安备11000000000001号
京ICP备11000001号