多发性末梢神经炎的症状
1、末梢神经炎的症状主要分为以下三类1感觉功能障碍患者常出现肢体远端的感觉异常,以疼痛针刺感烧灼感最为典型这些症状可能呈对称性分布,如双手或双足同时受累,且在接触冷热刺激时可能加重部分患者还会出现感觉减退或过敏,例如...
刚出生的宝宝可以喝水吗
正常喂养且无任何疾病的宝宝,每日除了喝奶,母乳喂养每次喂奶后可以喂一两口水,不喝也可以配方奶喂养两次奶中间喝次水,10mI以内如果天热,孩子出汗,室内干燥,不管是否是母乳喂养,都要喝水 6~12个月 奶和辅食中都包含...
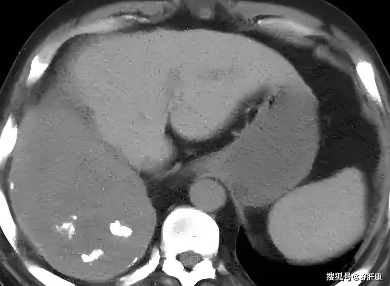
肝右叶钙化灶是什么?
肝右叶钙化灶是指在肝脏右叶区域出现的钙质沉积,通常在影像学检查如B超CT中表现为边界清楚密度较高的亮点或阴影其本质是局部组织因钙盐沉积形成的稳定结构,多数情况下为良性病变形成原因多样,主要包括肝内胆管结石胆管内结石长...
输尿管结石不能吃什么?
1、输尿管结石患者需避免或控制以下食物摄入高草酸食物菠菜甜菜杏仁花生红茶等含草酸较高草酸在肠道与钙结合形成不溶性草酸钙,长期大量摄入会增加草酸钙结石风险例如,每100克菠菜草酸含量约600毫克,甜菜约500毫克,需严...
窦性心跳过速是心脏病吗?
而窦性心律表明窦房结功能正常,电信号传导路径无障碍,心脏各腔室收缩同步,无需医疗干预例如,心电图显示“窦性心律”时,医生会判定为正常结果若出现“房性心律”“室性心律”或“窦性心动过速过缓”非生理性原因导致,才可能提示...
宝宝感冒了咳嗽怎么办
宝宝可以口服“贝莱”化痰止咳,另外要多喝水口服些梨子水白萝卜看看注意别腹泻了小婴儿如有咳嗽打喷嚏流鼻涕等“感冒”症状,考虑宝宝还太小,慎重起见,还是建议你带宝宝看医生,排除“支气管炎肺炎” 小婴儿感冒的在家治疗原则感...
五酯胶囊作用有哪些?
1、五酯胶囊的功效与作用如下一保肝护肝五酯胶囊的核心功效之一是保护肝脏其活性成分可显著降低血清谷丙转氨酶ALT水平,这一指标是反映肝细胞损伤的重要标志临床研究表明,该药物对慢性肝炎和迁延性肝炎患者因肝细胞受损导致的A...










京公网安备11000000000001号
京ICP备11000001号