排卵时的体温是多少?
量体温测排卵时,基础体温的变化是关键指标,排卵期前两周基础体温通常低于365摄氏度,而排卵期后两周则高于365摄氏度排卵前的体温情况在排卵前的两周左右,女性的基础体温往往维持在相对较低的水平,通常低于365摄氏度这是...
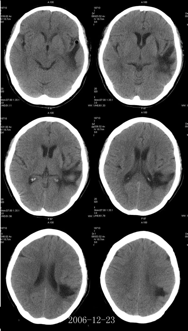
腔隙性脑梗塞能活多久
回答您好 腔隙性脑梗死是一种很小的梗死灶,直径一般不超过15厘米这种梗死多发生在大脑深部的基底节区以及脑干等部位这种情况后遗症比较少,一般不影响生命的,需要及时治疗和注意防止复发;回答您好! 问题分析首先腔隙性脑梗塞...
每天很困没精神怎么办(养生|多事之秋人易乏)
“春困秋乏夏打盹,睡不醒的冬三月”,到了秋天,总是犯困,没有精神,这是秋乏的表现。秋乏是正常的生理反应,因为夏季气血充于表,至秋气机下沉,但仍气动于先,血动于后,肌肤腠理多血而少气故易出现疲乏。如何缓解秋乏,可以注意...
2型糖尿病吃什么药最好(2型糖尿病虽不能治愈)
大多数2型糖尿病是以胰岛素抵抗和胰岛β细胞功能下降相关,具有一定的遗传易感性,但并不完全是遗传因素所决定的,更多的是后天因素导致。有一部分2型糖尿病的人群在黄金时间内通过有效合理的干预和预防,是可以完全实现缓解改善,...
药疹是怎么回事(这些药都会引起药疹)
很多家庭都会常备一些药品,稍有头痛脑热的可以自己找点药吃,但是,有的人服用某些药物后很可能会出现过敏反应,患上药疹!曾有媒体报道,一位患者因发烧自行服用了两片抗生素拜复乐,结果第二天皮肤布满大疱,经医生诊断,他患上的...



京公网安备11000000000001号
京ICP备11000001号