有时候下个楼梯特别容易崴脚,崴脚大部分是脚踝处的软组织的损伤,也就是周围的韧带的损伤,但是在过度负重、长时间的行走等情况下,也是可能导致骨折的。
不过即使发生骨折,也并不代表立即不能行走,或者说崴脚后还可以行走也不代表没有发生骨折。脚踝处的骨关节相对来说稳定性还是较高的,发生骨折的概率较低,并且发生骨折后会有两三周的缓冲时间,然后才会表现出各种不适的症状。
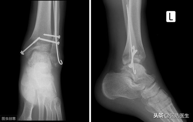
脚的组成包括胫腓骨下端与距骨。踝关节因为其要承受身体大部分的重量,所以其抗压性是较高的,但是其稳定性不足,所以就导致踝关节最容易出现内翻、外翻,也就是我们说的崴脚,损伤的主要是两侧的韧带。
踝关节骨折后最明显的特征就是关节局部的疼痛、肿胀,这些表现实际上单纯的软组织损伤也会出现。所以就很容易错把骨折当成一般的软组织损伤。普通的软组织损伤一般经过一两周的休息后,肿胀疼痛都会消失,而骨折导致的疼痛,并不会消失,甚至会加重,尤其是在运动的时候。
所以说,单纯的凭借能不能运动时无法判断有没有骨折的,如果明显肿胀,为了健康着想,建议还是去医院做个x线的检查,这个做起来也方便,不需要提前很久预约,价格也比ct、核磁便宜很多。另外对于习惯性崴脚的人,可以再进行一下踝关节韧带的检查,防止再次发生崴脚。#清风计划##关注精神健康##生命召集令超能团#@清风计划@生命召集令@健康真相官
转载请注明来自极限财经,本文标题:《脚崴了,但不会肿,但走路会疼(崴脚后疼痛难忍)》

京公网安备11000000000001号
京ICP备11000001号
还没有评论,来说两句吧...