基底节区脑出血严重吗
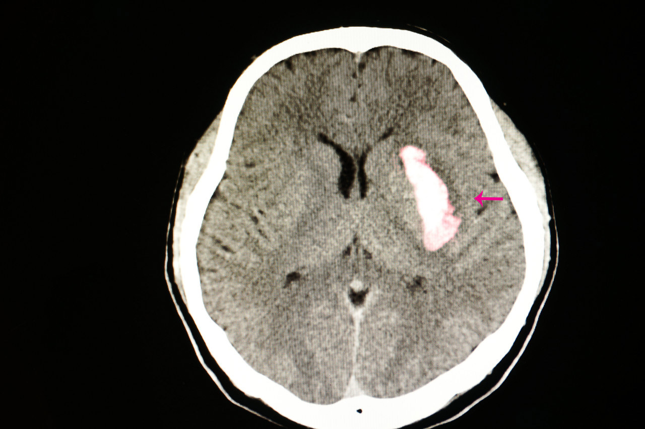
左侧基底节区脑出血是一种因左侧基底节区血管破裂导致血液在脑实质内积聚的严重疾病症状表现症状与出血量及位置密切相关常见症状包括突发剧烈头痛呕吐一侧肢体无力或麻木,可能伴随面部手臂或腿部瘫痪言语不清或理解困难失语意识模糊...
射精障碍是怎么回事?
射精障碍是指男性在性行为中无法达到或维持满意的射精状态,可能伴随射精时间异常快感缺失或精液排出异常等问题,对性生活质量和心理健康可能产生负面影响病因与类型射精障碍的病因包括心理因素如焦虑抑郁性经验不足或压力生理因素如...
意淫是什么,能给我解释一下吗
意淫是指人们在思想或幻想中产生的超出实际行为的强烈欲望或幻想详细解释如下意淫一词通常带有贬义色彩,它描述的是一种不实际过度想象的状态当一个人陷入意淫的状态时,他可能会在脑海中构建一些不切实际的幻想,想象自己与某些人或...
咳嗽痰里有血(咳嗽时痰里带血)
今天想和大家聊一个很多人问过的问题:为什么咳嗽时痰里有血丝?是不是单纯"上火"?很多患者第一次发现痰中带血时,都会紧张地问我:"医生,我这是不是上火了?要不要喝点凉茶?"我接诊过一位45岁的患者,连续三个月把早晨带血...
女性月经期间可以吃苹果吗
1、女生月经期间可以吃苹果,但需注意以下几点1 苹果的营养价值与月经期需求苹果富含维生素如维生素CB族维生素矿物质如钾镁及膳食纤维,这些成分有助于补充月经期因失血可能导致的营养流失,同时膳食纤维可促进肠道蠕动,预防便...








京公网安备11000000000001号
京ICP备11000001号