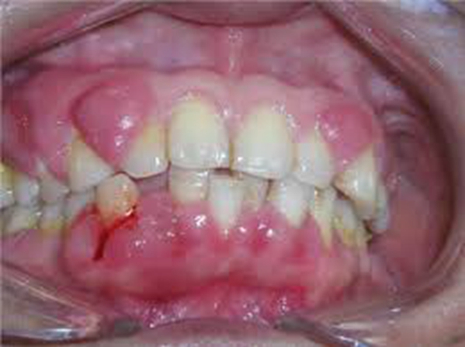
根尖周炎是什么症状?
急性根尖周炎的临床表现主要包括以下方面1 疼痛自发性阵发性疼痛是典型症状,夜间加重可能影响睡眠咬合痛明显,咀嚼或咬牙时因根尖周组织炎症导致牙周压力升高而加剧,患者常因疼痛避免患侧咀嚼2 肿胀根尖周组织局部肿胀,牙龈红...
想怀二胎了,需要注意什么
1、怀二胎需从多方面谨慎准备,以确保母婴健康,具体注意事项如下一孕前全面检查夫妻双方均需进行孕前检查,涵盖身体基础指标如血压血糖生殖系统健康传染病筛查及遗传疾病风险评估通过检查可及时发现潜在问题,如甲状腺功能异常贫血...
吃山药有什么好处(山药营养价值丰富)
单纯的多吃山药很难达到美容养颜的作用,山药确实属于一种营养价值较高的食物,但是并不含有哪种特殊成分对皮肤有很大的帮助,从食物营养素角度来考虑美容养颜的问题,如果说山药可以美容养颜,那么新鲜蔬菜和水果以及富含蛋白质的食...
羊水穿刺能检查什么(孕期被要求做羊水穿刺检查)
产检过程中有不少孕妇被要求做羊水穿刺检查,羊水穿刺检查到底在查些什么呢?它的原理又是什么呢?今天带大家来了解下羊水穿刺检查项目。 首先带你了解羊水的形成及羊水穿刺检查的最佳时间。 羊水穿刺检查是产前诊断的一种方法,一...
吸烟头晕是什么原因引起的
吸烟后头晕恶心主要由以下原因导致1尼古丁的影响尼古丁是烟草中的主要成瘾物质,它会刺激血管收缩,导致外周血管阻力增加,减少大脑的血液供应,引发缺氧性头晕同时,尼古丁可直接刺激胃肠道黏膜,引发恶心甚至呕吐这种刺激对胃肠道...
有乳豆怎么办,听说有可能会得乳腺癌(乳腺癌患者如何选豆)
2024全民营养周主题是 “奶豆添营养,少油更健康”。豆类食品一下成为公众关注的热点,据研究发现,大豆及制品除能提供优质蛋白质、不饱和脂肪酸、钙、钾、维生素E等营养物质外,其所含的大豆异黄酮是一种纯天然的植物雌激素,...




京公网安备11000000000001号
京ICP备11000001号